![]() |
![]() |
![]() |
|
![]() |
![]() |
![]() |
|
2 mm Bone On Either Side of Implant
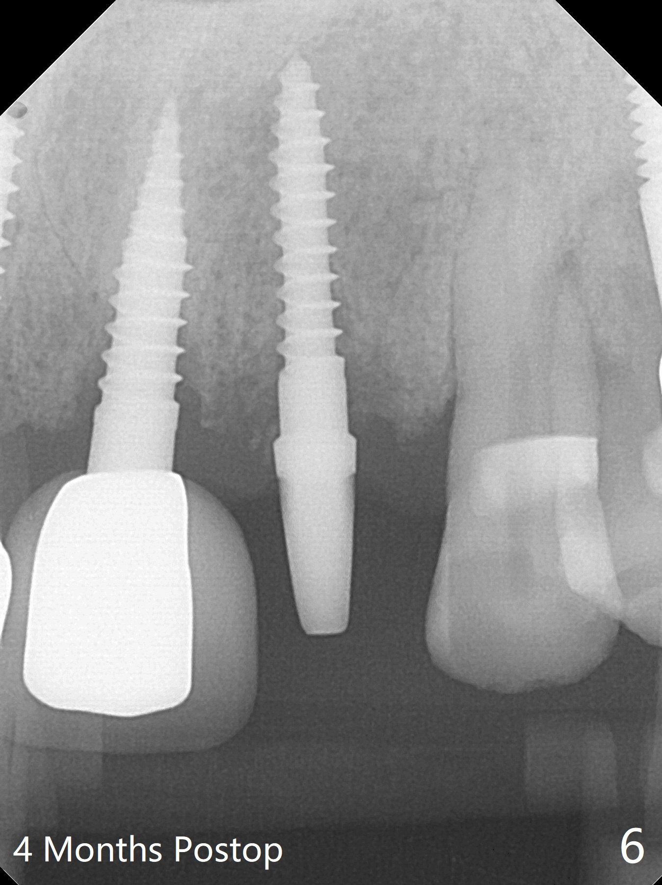
A 64-year-old man requests implant for the loose tooth at #10. The bone width is 5.5 mm (Fig.1); with 2.5 mm implant, there is 1.5 mm of the bone on the either side of the implant. The ideal width is 2 mm, which is safe, preventing buccal or palatal plate perforation. The buccal crest is lower when the tooth is extracted (Fig.4). Following trajectory confirmation (Fig.2), a 2.5x12(2) mm implant is placed a little deeper than expected to ensure no implant thread exposure with bone graft (Fig.3,5). The bone loss at #8 and 9 (Fig.2,3) is associated with the narrow ridge. The surface treatment of 1-piece implants is not as good as that of regular ones. The threads appears to be covered by the bone or bone graft 4 months postop (Fig.6).
Return to
Upper Incisor
Immediate Implant,
Trajectory
II,
Clindamycin
3
8/9
14
15
19
30
12
Xin Wei, DDS, PhD, MS 1st edition 10/01/2018, last revision 01/11/2020