![]() |
![]() |
![]() |
![]() |
![]() |
![]() |
![]() |
![]() |
![]() |
|
![]() |
![]() |
![]() |
||
![]() |
![]() |
|||
![]() |
![]() |
![]() |
||
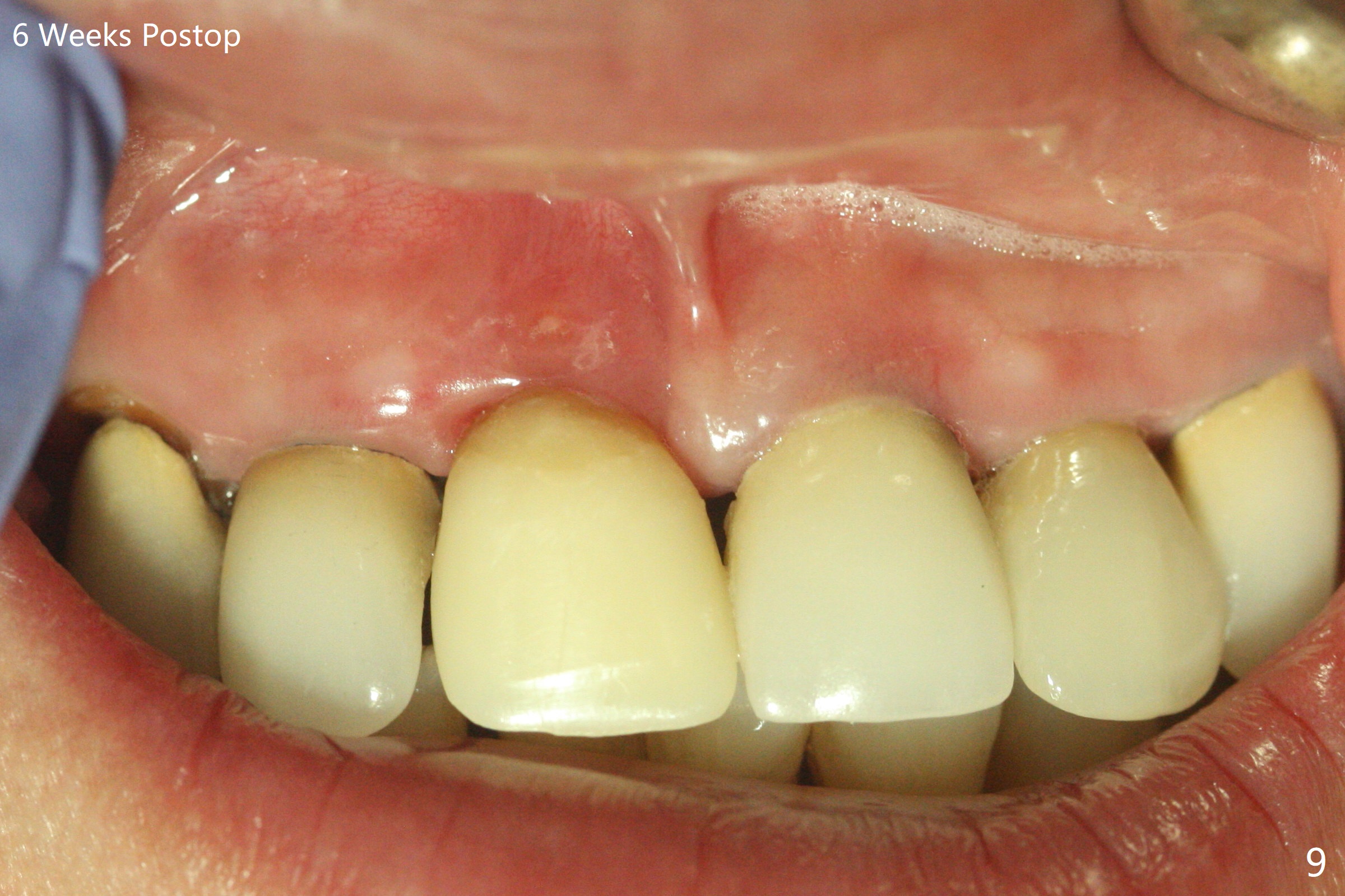
表浅种植
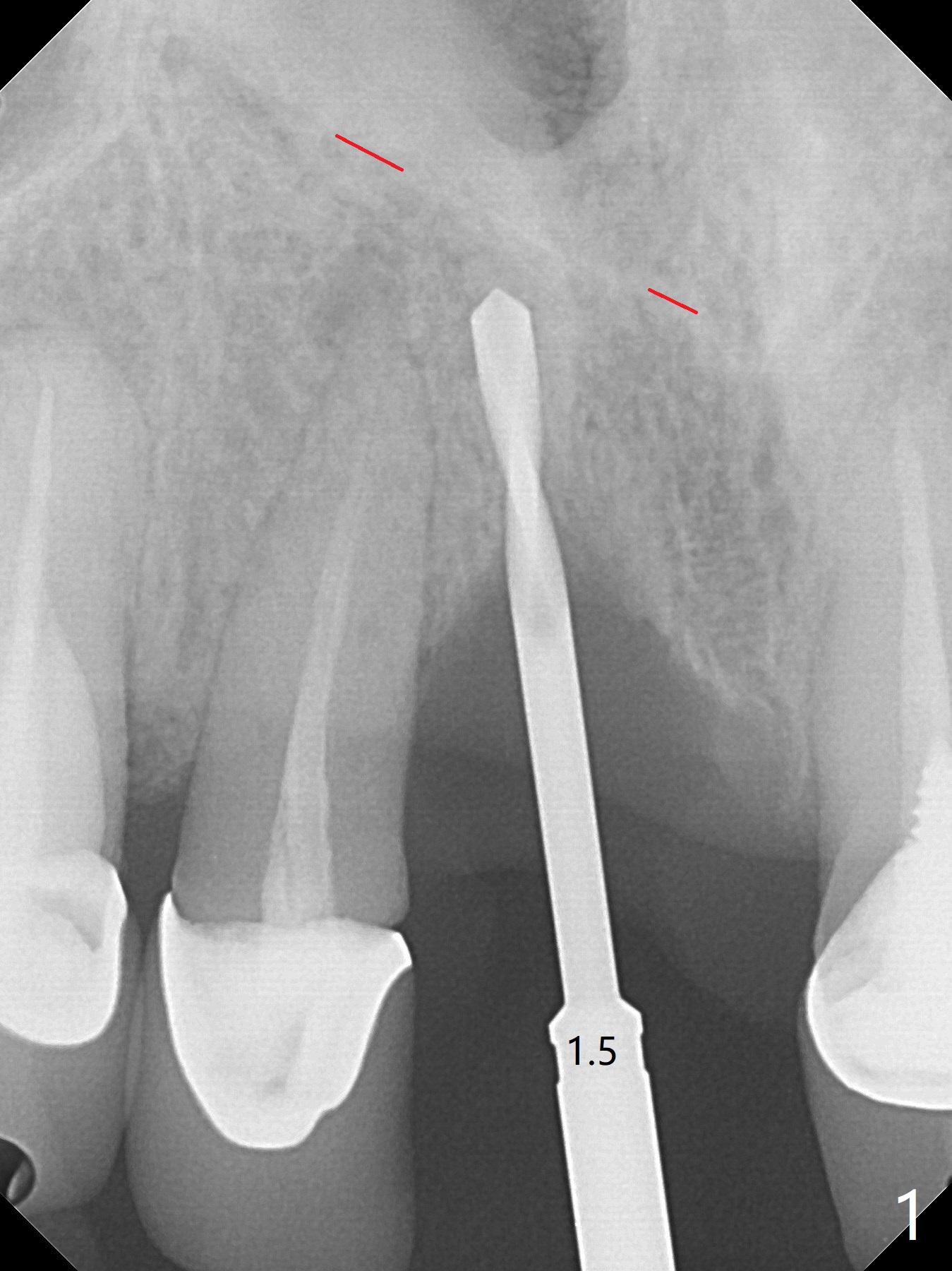
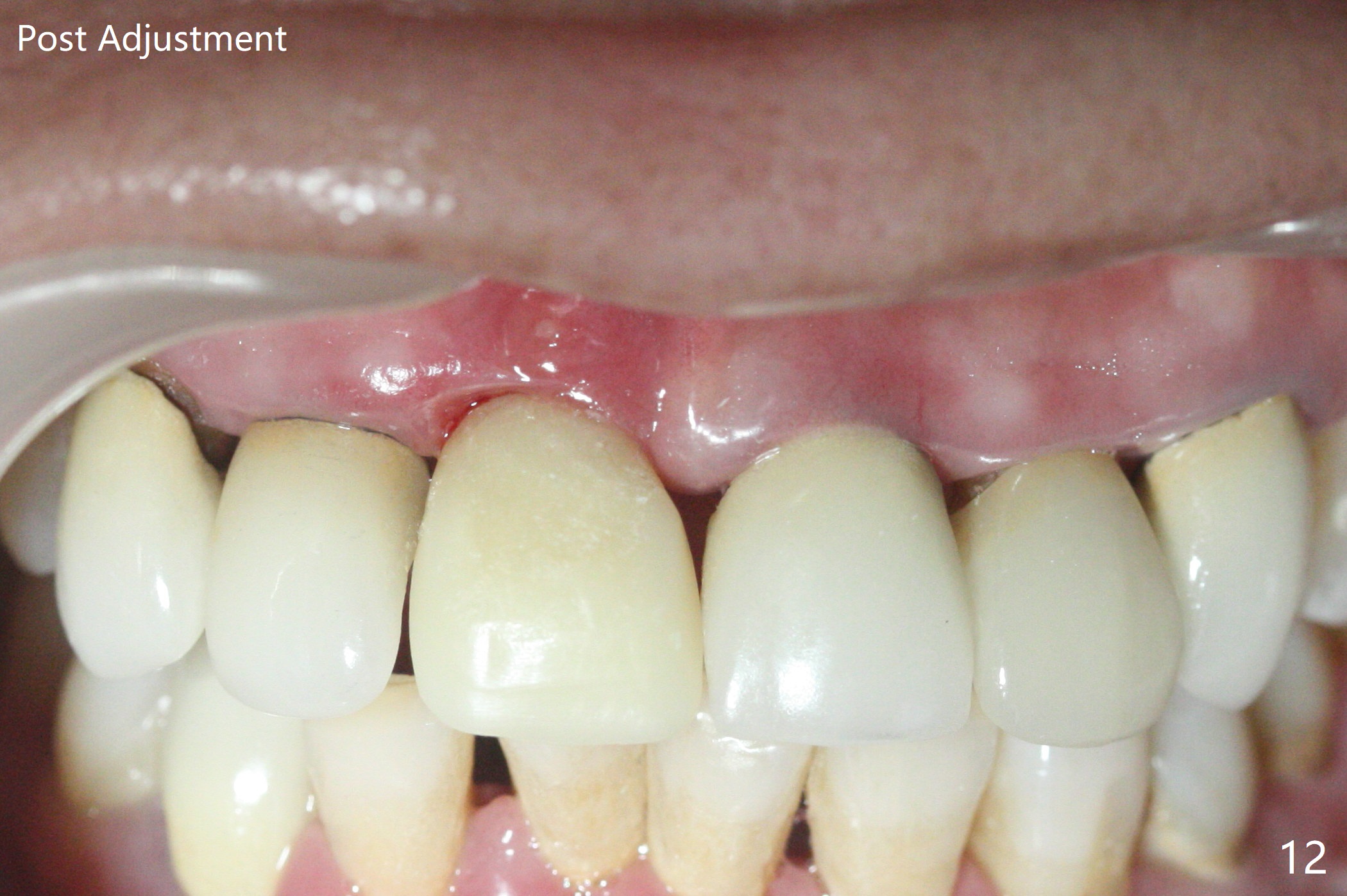
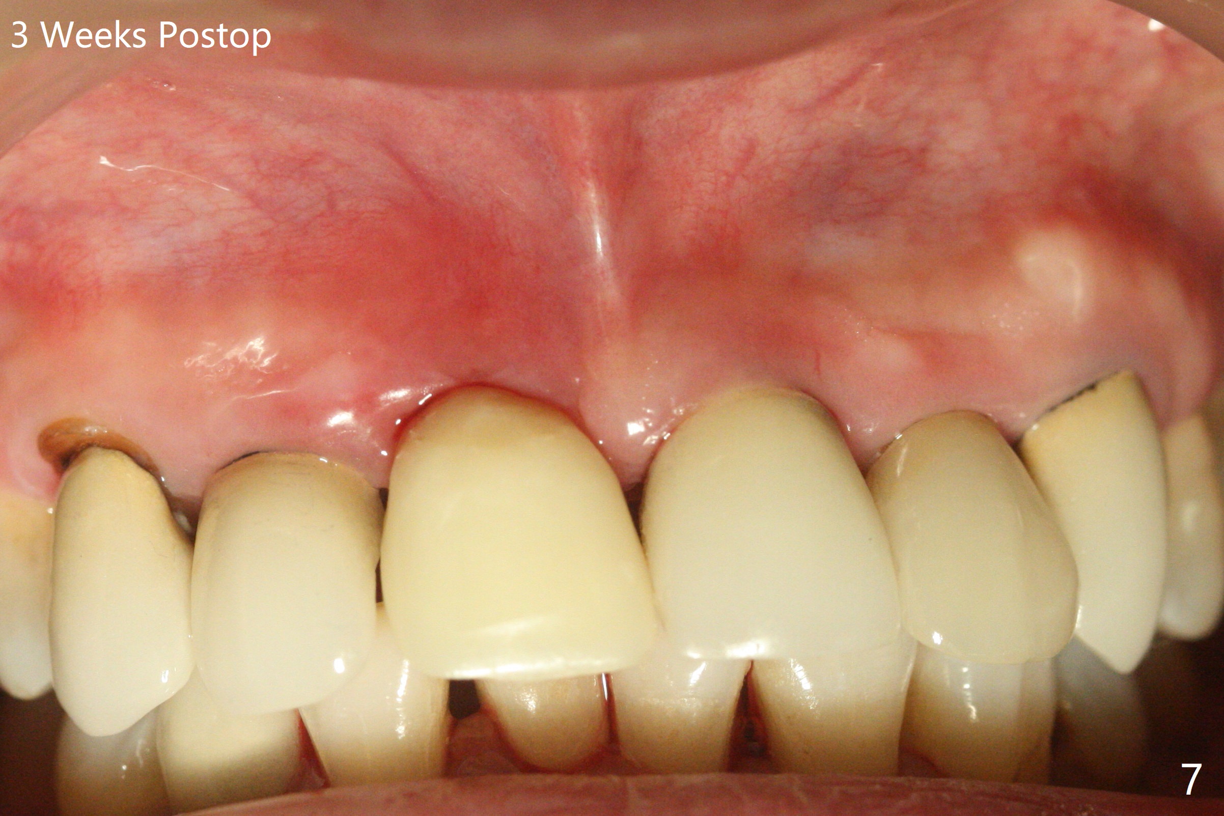
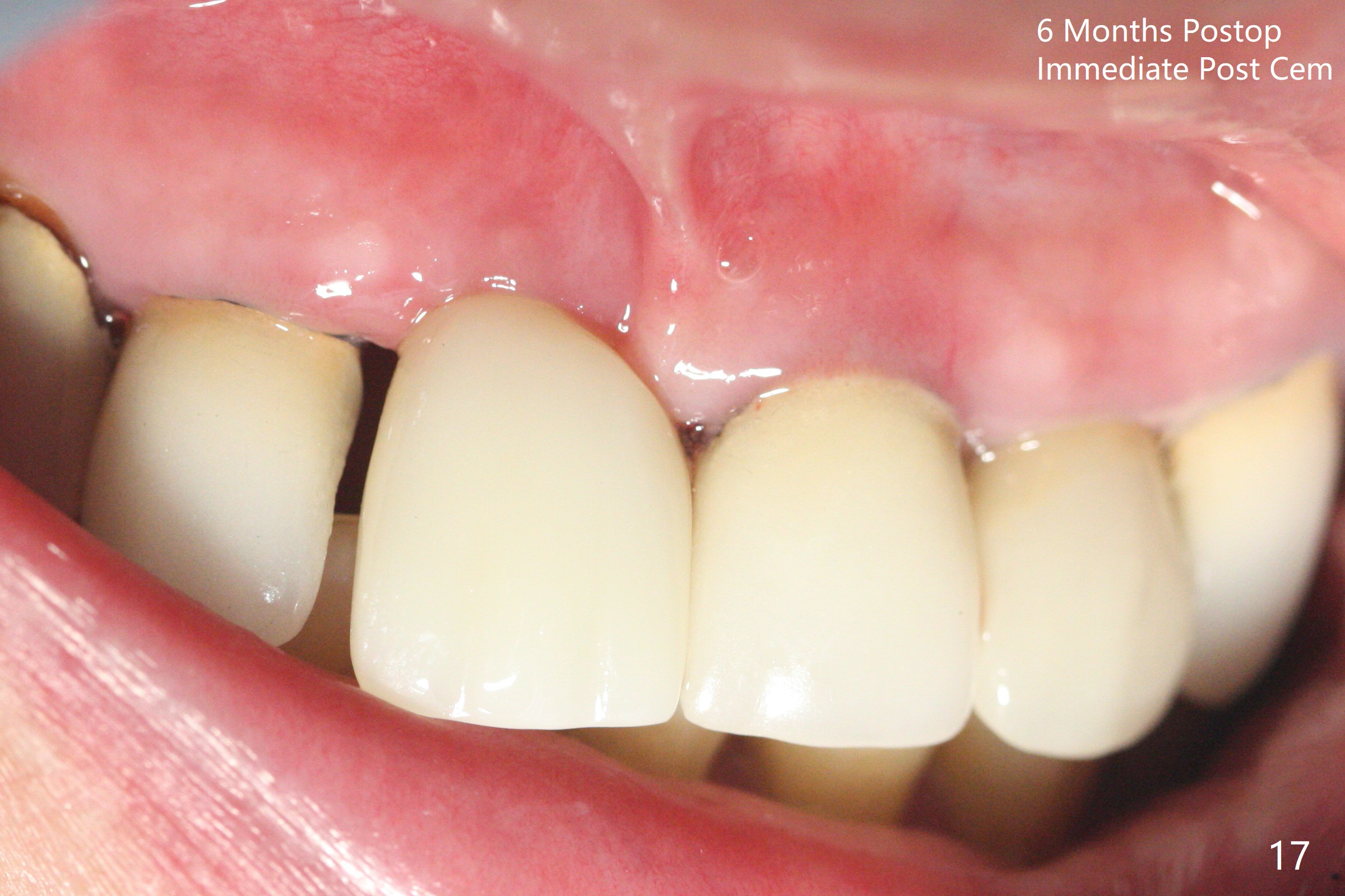
徒手初步钻洞显示方位不对(图一),重新钻洞方位尚可,好像接近鼻底(图二:红线);植入3x11.5毫米一段式植体(图三),3-5个螺纹暴露,植体似乎接近鼻底;旋转植体三趟,植体仿佛卡人鼻底,扭力大约35Ncm,植入粘性骨粉(图四,五:*)前,塞入PRF膜,紧贴颊侧粘膜,促进瘘道愈合。骨粉不仅围绕植体,而且紧贴邻牙牙根(图六(第二轮植骨:overgrafting):<)。病人术后第二周开始使用水牙线,术后三周牙龈健康多了,瘘道消失(图七)。术后六周颊侧骨壁开始塌陷(图八:>),临时牙冠颊侧颈部显得隆起(*)。调整后,牙冠外形改善(图十一至十三),取模前颊侧牙龈缘有可能下降,两个中切牙龈缘可能一致。术后3.5个月骨粉形态(图十四)与术后即刻(图六)有所不同。颊侧牙龈仍红肿轻度触痛(图十五),可能因为临时牙冠不利于局部卫生,所以决定取模制作永久性牙冠。粘固时使用临时胶水,并且涂抗菌素。另外一个可能因素是颊侧骨板薄(图十六:*),细菌感染植体螺纹,永久性牙冠粘固前,拍摄CT(放置cotton roll),必要时,植骨。永久性牙冠远中有缝隙,为了预防病人后悔,使用临时性粘固剂固定(图十七)。Return to No Caries DIO 下一个病例 一段式植体边缘制备 导板与内提升 Xin Wei, DDS, PhD, MS 1st edition 12/22/2020, last revision 06/15/2021