![]() |
![]() |
![]() |
![]() |
Loss of Buccal Plate
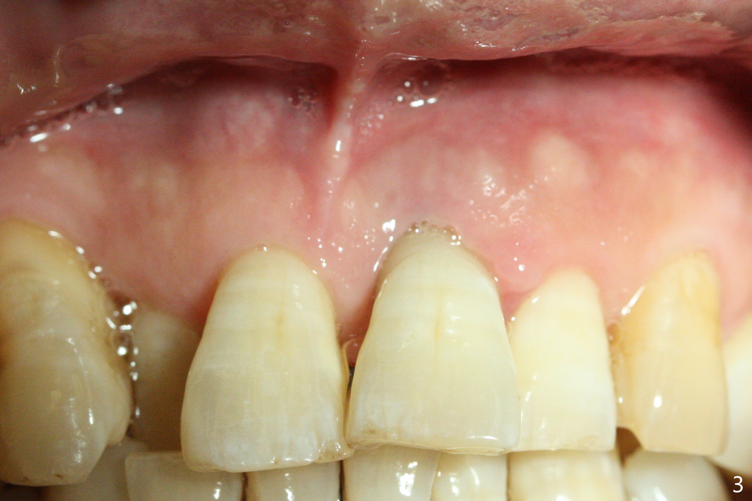
A 47-year-old man has a loose, displaced (Fig.4) central incisor with loss of the buccal plate (Fig.1,2,3) and Root tip resorption (Fig.1,2 arrowheads). Because of severe bone loss, a 6 mm cuff is expected (Fig.2 pink). The incisal edge of the tooth #24 (Fig.4) will be adjusted prior to immediate provisional using a temporary abutment and the natural tooth with access hole. PRF will be used to repair the buccal plate.
Return to
Upper
Incisor Immediate Implant,
Armaments,
No Antibiotic
3,19,
23
Xin Wei, DDS, PhD, MS 1st edition 01/31/2018, last revision 09/03/2018