![]() |
![]() |
![]() |
![]() |
|
![]() |
![]() |
![]() |
![]() |
|
![]() |
||||
Pontic Concavity M
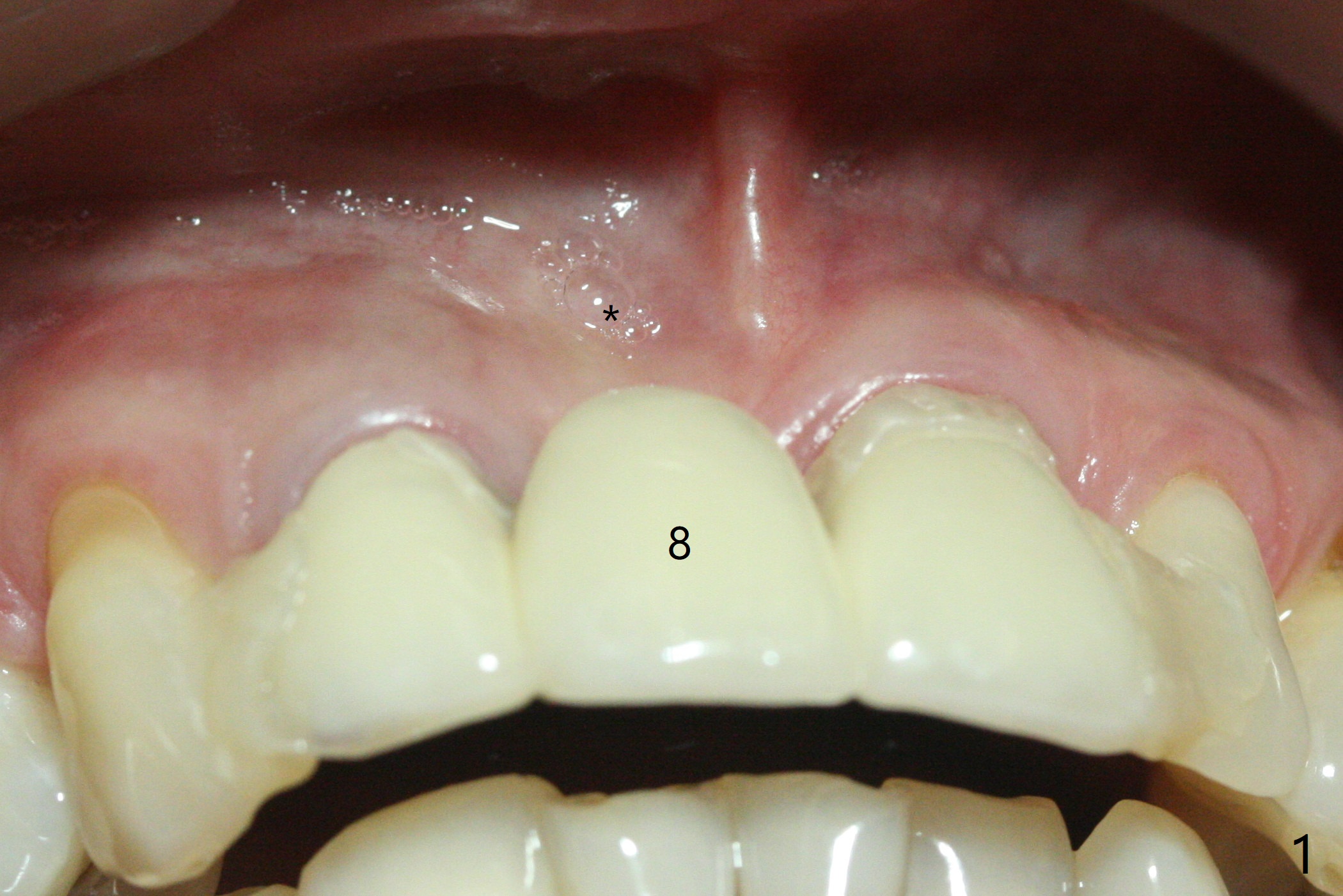
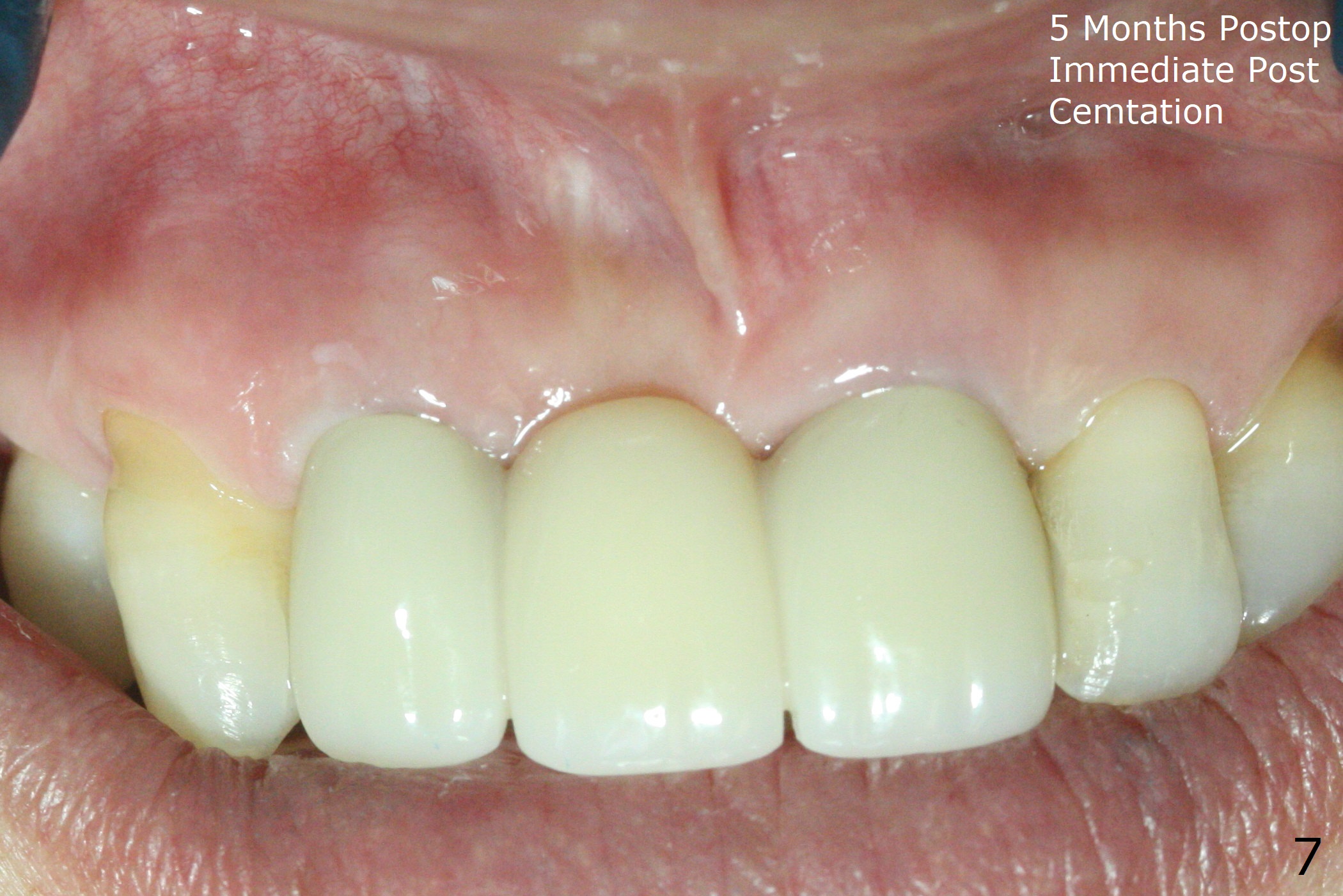
Since the pontic (Fig.1 #8) of the existing failed FPD has severe buccal concavity (*), socket shield is performed when #7 and 9 are extracted (Fig.2,3 *). Angled abutments are placed when 3.5x13 mm implants are inserted with guide. An immediate provisional FPD is fabricated. Acrylic is added to the pontic of the temporary FPD (Fig.4 arrow) to form a concave pontic gingiva (blanch)16 days postop. The patient returns 3.5 m postop with concern over temp being bulky and turning yellow. With Cetacaine and 1-0 cord, labial reducion is done for 7,9 abutments as well as 7 incisal reduction. The provisional is relined to increase 7 8 crown length. Next visit we will continue modification of temporary. Photos will be taken before and after modification (buccal and incisal views). The patient complains of occasional pain at #7. Check whether the socket shield at #7 is a culprit. In fact the implant at #7 is normal. Manipulation of the provisional does not help cosmetics much. A permanent restoration is delivered 5.5 months postop (Fig.7-9).
Return to
Upper Incisor
Immediate Implant,
Trajectory II
1-Piece Canine
Premolars
Xin Wei, DDS, PhD, MS 1st edition
10/01/2019, last revision
04/12/2020