![]() |
![]() |
![]() |
![]() |
![]() |
![]() |
![]() |
小题大做?
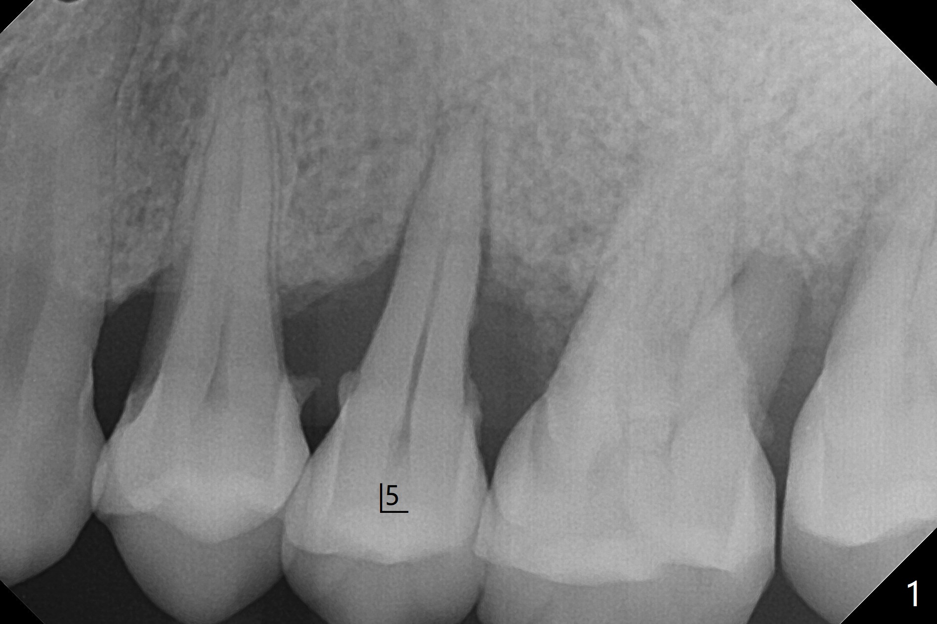
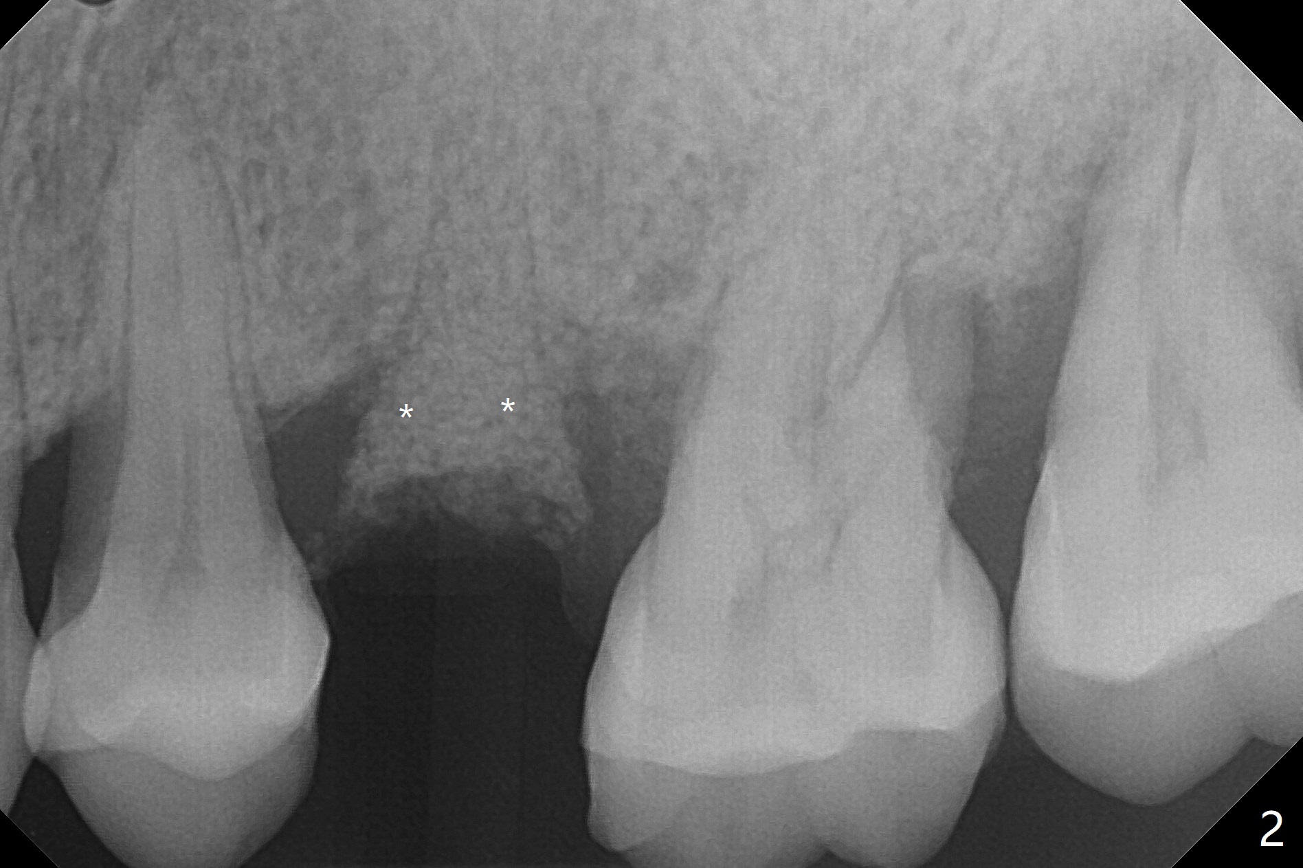
48岁女,严重牙周炎,要求拔除左上5松动牙(图一),经过劝说同意位点保留(图二)。在软组织(厚)区的骨粉(*, cortical, pressed collagen plug, perio dressing)以后帮助植牙?没毛病,不久就会吸收了,多可少,少不可多,大可小,小不可大。Steven
术后二周牙周敷料松动,取出后,伤口尚可(图三)。可能病人用右侧咀嚼,造成右上两个双尖牙松动疼痛,拔出后即刻种植修复,之后她能在右侧咀嚼,而食物撞击左上拔牙创疼痛,无法吃饭。术后三个月左上7疼痛,瘘道,插入牙胶尖(图四:*),根周阴影。其实腭侧根纵裂(图四,五:<),三个月已经发生(图二),可以即刻种植(图六),与5延期种植同时进行,使用导板。
Return to
No Deviation
4/5
手术
Xin Wei,
DDS, PhD, MS 1st edition 09/22/2020, last revision
01/26/2021