![]() |
![]() |
![]() |
![]() |
![]() |
![]() |
![]() |
![]() |
![]() |
![]() |
![]() |
![]() |
![]() |
![]() |
![]() |
![]() |
保持两个即刻植牙之间龈乳头
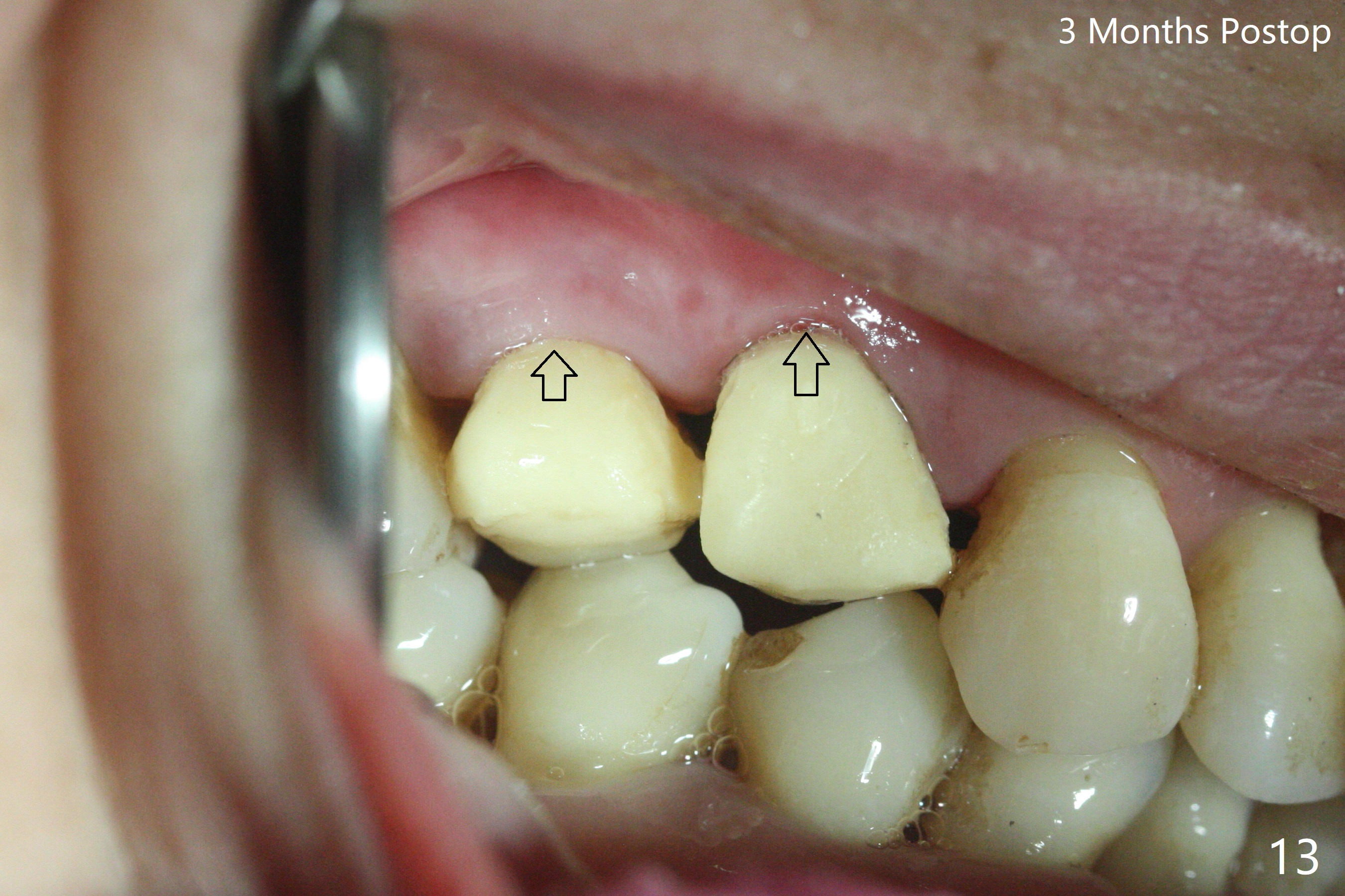
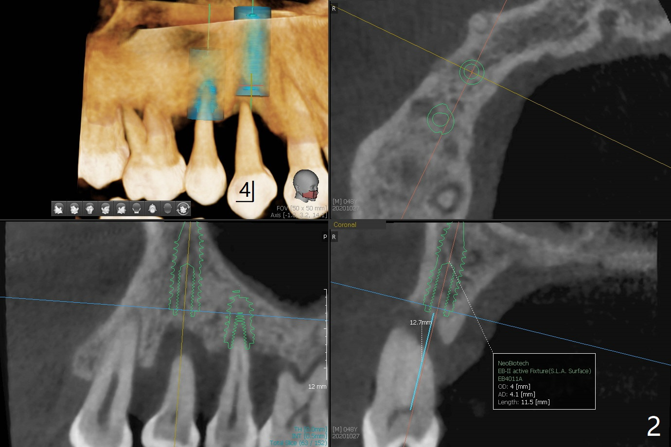
术前CT显示右上4牙槽骨比5窄(图一,二),3.5毫米植体比较合适,况且牙龈厚,基台长的一段式植体显得得当。为了取得最好的植体方位,4先拔除(图三),种植(图四),调整后者深度后,拔除5(术前征求病人同意),开始钻洞(图五),完成种植(图六)。粘性骨粉不仅放置于植体周围,而且6牙根近中(图七),4/5牙槽嵴和龈乳头(P)之间,减少术后龈乳头萎缩(图八:*)。制作两个分开临时牙冠,有利于维持龈乳头。对于病人来说,临时牙冠帮助咀嚼,而对侧拔牙创无法吃饭。术后3个月两个分开临时牙冠(其中一个龈方移位(图九:箭头)保持龈乳头(*)和牙龈外形(图十:*)。临时牙冠取出后,调整基台高度,少量钛屑(不妨大局)附着在健康的牙龈沟(图十一),再次显示两个基台之间龈乳头(图十二:*),衬里,修整的临时牙冠又插回牙龈沟(图十三:箭头),继续维持软组织形态,准备一个月后,调整基台边缘(图十二:箭头),取模。术后五个月大部分骨粉依然保留在植体和邻牙周围,龈乳头退缩不多(图十四: P)。三个月后(术后六个月)钛削无影无踪(图十五,与图十一对比))。永久性牙冠周围空间慢慢会消失(图十六,使用临时性胶水)。
Return to No Deviation No Caries 骨粉无法进入邻牙(上一个病例)前磨牙即种 Xin Wei, DDS, PhD, MS 1st edition 10/27/2020, last revision 05/02/2021