![]() |
![]() |
||
![]() |
![]() |
![]() |
![]() |
同期或者分期拔除?
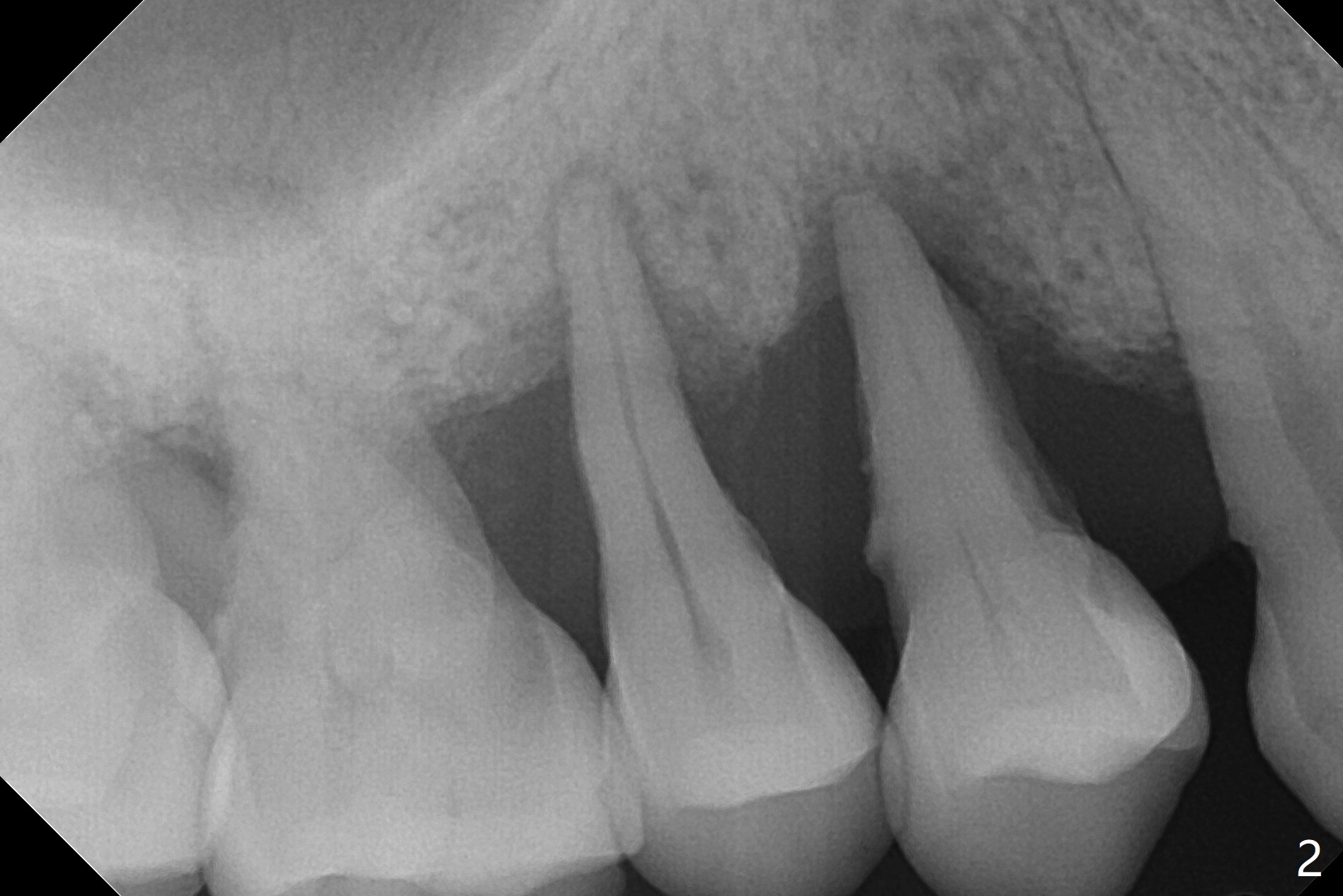
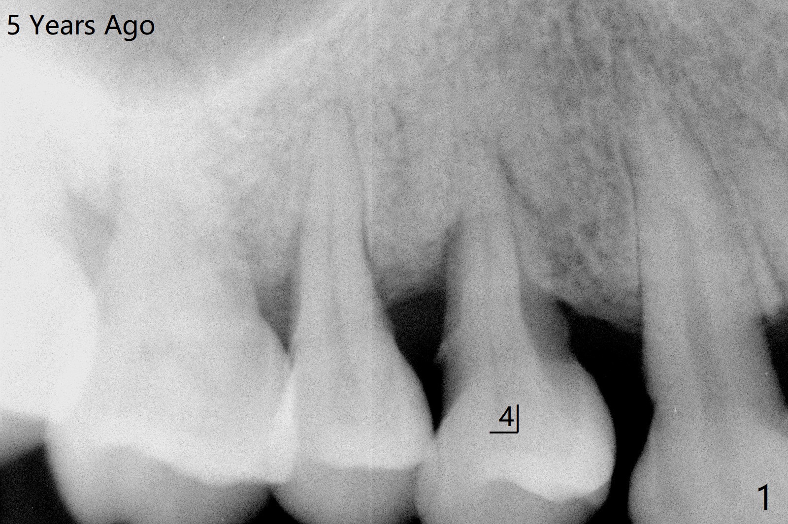
48岁女右上4,5骨质吸收松动五年里逐渐加重(图一,二),而牙龈退缩没那么明显。这两个后牙能同时拔除,种植吗?
一个月后病人要求4植牙。术前拍摄CT,决定植体大小,位置,准备SM和DIO/IS一段式植体,粘性骨块。
图三红线代表龈乳头,当两个邻牙拔除后,没有特殊处理,龈乳头不可避免收缩(图四)。如何预防呢?拔除4时,发现牙槽窝肉芽组织延申到牙槽嵴与乳头之间(图五:黄色)。刮治肉芽组织后,在空缺处,填入粘性骨粉(图六:圆圈),应该能够减少术后龈乳头萎缩。
Return to No Deviation Metronidazole 13 前磨牙即种 Xin Wei, DDS, PhD, MS 1st edition 09/29/2020, last revision 05/02/2021