How to Avoid Injury to the Inferior Alveolar Nerve during Implant Placement (Case Report)
Understand anatomy of the inferior alveolar nerve (IAN), the mental nerve (MN) and the incisive nerve (IN)
Take good PA to show relatively complete picture of IAN, MN and IN
Trace these nerves in PA and Panorex. Do it a few days before surgery and review the tracing immediately before procedure. Establish clear mental image of this complex area
Use cone beam if necessary
Make surgical guide using information obtained from above, not only paying attention to the depth of osteotomy, but also to projectory (angulation). Making surgical stent is more for mental preparation
Expose MN before making osteotomy, knowing where you are going. Angulation is a key
Infiltrate the surgical area first. Once osteotomy position and orientation have been decided to be safe, block anesthesia may be used
Take several necessary PAs intra-op to adjust osteotomy position and more importantly angulation
If you are not sure, stop surgery. Use appropriate size of implant in the critical area
Case Report
![]() |
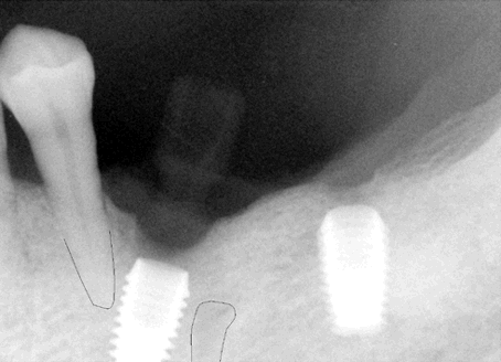
Fig.1 38 year-old male patient presented in 2006 with chief complaint "loose bridges". Exam shows poor oral hygiene and restoration, and advanced periodontal disease. Initial treatment includes removal of grossly nonsalvageables, scaling & root planing, and upper removable partial using #1 as distal abutment. Due to pneumatic sinuses and finance, implants would be placed in the mandible first. | |
![]() |
Fig.2 High looped mental nerve is noted pre-op. To avoid potential damage to the nerve, local infiltration was used. Flap was raised to expose the mental nerve before osteotomy. A shorter implant was chosen for #29 (5x6mm), as compared to 5x8 implants (Bicon) for #28 and 30. The depth of osteotomy for #29 was controlled so as not to pass below the mental foramen, but still to bury implant platform. According to manufacture manual, the implant should be buried 2-3 mm below the ridge. No paresthesia was found post-op, although #29 implant was apparently on the top of the mental nerve (red tracing line). As shown below by cone-beam, the apex of this implant must be located lingual to the mental nerve when the latter exits the mental foramen. The drawback is that a few of threads was exposed buccally for #29 implant (not shown), probably because it was not buried deep enough. The thread exposure was found during uncovering, 4 months after placement. No further treatment was pursued for thread exposure. Integrated abutment crowns were placed for #28-30. This panorex was taken 1.5 years after crown placement. Radiographically, implant thread is below the alveolar ridge. Twenty eight months since functioning, these 3 implant-supported crowns have been stable with healthy bone and gingiva. | |
![]() |
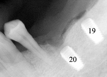
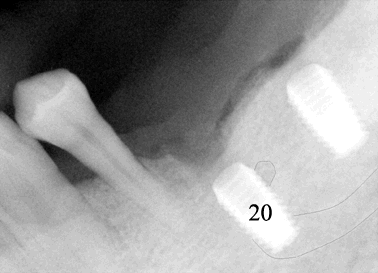
Fig.3 When the pan in Fig.2 was taken, the
patient requested more implants in the lower left quadrant. To
reduce thread exposure, we planned to place 2 implants (8 mm long) (#19 (pink tracing
line) and 20 (yellow) on the either side of the mental nerve and below the
ridge. These 2 implants should be above the inferior alveolar nerve
and incisive nerve, respectively. #20 implant should avoid touching
the neighboring root. An alternative was proposed to extract #21,
place implants at #19 and 21, and fabricate 3-unit fixed prosthetic
denture. The patient declined.
Notice the angulation of the implant for #20. |
|
![]() |
![]() |
Fig.4 (left) and 5 (right) Model surgery was performed to insert guiding rods for #19 and 20 (Fig.4). At that time, it was thought that the implant #19 is more likely to invade the mental nerve loop. It bends upward and distally. Effort was made to design #19 osteotomy as distally as possible, as shown by the metal tube inside acrylic in Fig.5. The tube exits at the distal fossa of waxed-up tooth #19. Retrospectively, the angulation for #20 is not correct (Fig.4). The axis for #20 in Fig. 5 is more appropriate. A guiding tube was inserted over a rod at #20. The rod and tube are purchased from Straumann. |
![]() |
![]() |
Fig.6 (left) and 7 (right) A PA was
taken immediately before implant placement (Fig.6). There are two radiolucent areas (including one being traced).
The surgeon did not see them or clearly realized that one of them is the
terminal part of the ascending mental nerve. If the sensor had been placed lower, the mental nerve
loop would have been more easily identified (Fig.7). The latter
X-ray was taken before 2nd surgery, which will be discussed below.
The message is that we should adopt paralleling technique (no tilting or distortion) for X-ray and insert the sensor or X-ray film as deep as possible when we place implant around the lower premolars. |
![]() |
![]() |
Fig.8 (left) and 9 (right) After initial
osteotomy, paralleling pins were inserted at 6 mm (Fig.8) and 8 mm
(Fig.9) for X-ray. The surgeon did not find the mental nerve relative
to the pins. He paid attention to changing the projectory of the pins/osteotomy
(compare Fig.8 vs. 9). The surgeon did not expose the mental nerve on
the left side.
As mentioned above, local infiltration was used during lower right implant placement. In case the neural bundle is invaded, we may notice it earlier. The drawback is that the depth of anesthesia cannot be maintained for long. You have to re-inject frequently. When working on the lower left quadrant, inferior alveolar block was used from the beginning with local infiltration for hemostasis. More importantly the mental nerve was not dissected for orientation purpose. |
![]() |
![]() |
Fig.10 (left) and Fig.11 (right) Retrospectively we used a Windows Accessories Program called Paint to trace the mental nerve and inferior alveolar nerve. At 6 and 8 mm of osteotomy, the mental nerve may be violated. If the surgeon had been more alert and had stopped the procedure or changed angulation, paresthesia would have been avoided or much less. At the upper level, the mental nerve inside the mandible is buccal to the osteotomy (which will be discussed below). The subtle sign of invading the inferior alveolar neurovascular bundle is that there is more oozing from the osteotomy of #20 than #19. There is no sudden breakthrough during osteotomy. |
![]() |
![]() |
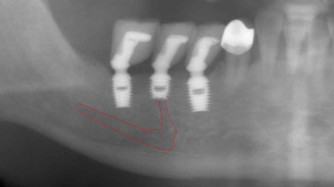
Fig.12 and 13 Since the surgeon failed to notice the relationship of initial osteotomy to the mental nerve, he kept increasing osteotomy depth (to ~11 mm below the alveolar ridge) and diameter to 4.5 mm for #20 and 5.0 mm for #19. After the patient left, he reviewed post-op X-ray and noticed that #20 implant pinched the inferior alveolar nerve (Fig.11). Tracing further shows that the implant overlaps the mental nerve (Fig.12). Paresthesia was found in the left lower lip and teeth. The extent of parethesia of the lip and chin was recorded. The offending implant was removed on the 3rd day post-op. Paresthesia decreased 4 weeks later and completely resolved by 2 months. Another 4 months later, the patient returned for #20 implant placement for the second time. A new pre-op PA was taken again immediately before the scheduled surgery. The high position of the mental nerve appears to wake up the doctor for the first time. The alternative (extracting #21, placing an implant on #21, using both #19 and 21 implants as abutments for fixed work) was proposed again. The patient did not accept it. The surgery was canceled. Since #19 implant was placed relatively too distally, it would be inappropriate to use to use it to make a cantilever fixed prosthesis. An implant should be placed in the narrow space between the mental nerve and #21 root (Fig.7). The angulation was designed in Fig. 3 and 5. Surgical stent was fabricated after placing orientation rod and tube (Fig.5) before cone beam. |
![]() |
![]() |
Fig. 14 and 15 Cone beam confirms the close relationship between the mental nerve and the root of the tooth #21. S: stent with barium sulfate for #20 implant placement; T: tube inside acrylic without barium sulfate for previous placement of #19 implant. Please note that as the mental nerve loops ascends, it is more buccally located. It is more likely to injury the mental nerve as osteotomy goes deep. Osteotomy tends to be in the middle of the bone. It is imperative to tilt the osteotomy as shown by simulation of implant placement (black rectangle in Fig.15). The osteotomy should also avoid injuring the incisive nerve (brown lines). Although cone beam provides tremendous information, the operator depends heavily upon routine X-ray during implant placement. He needs several quality intra-op X-ray to adjust the angulation and position of the osteotomy as shown below. |
![]() |
![]() |
Fig.16 and 17 First of all, make an incision and raise the flap to expose the mental nerve (double arrowheads in Fig.16). Use this and neighboring landmarks (the tooth #21 and healing plug of implant #19) to make an initial osteotomy (single arrowhead). Insert a paralleling pin and take PA (Fig.17). Notice the angulation as compared to that in Fig. 8 and 9. The osteotomy needs to move distally using side-cutting bur: Lindemann (Brasseler). |
![]() |
![]() |
Fig.18 and 19 The position of the osteotomy appears to be more appropriate (Fig.18). Always be alert during any step of osteotomy. Direct your bur (the tip more exactly, Fig.19) away from the mental nerve at the foramen and particularly below (mentally). Initially local infiltration was adopted. Intra-op, the patient reported pain. At that moment, the depth and angulation of osteotomy had been decided to be safe and sound. Pain was also determined not from the area close to the mental nerve within the mandible while a reamer (bur) was turning. Then block anesthesia was performed. |
![]() |
![]() |
Fig.20 and 21 These two X-ray images were taken immediately after pressing in a 4.5x8 Bicon implant. Before implant insertion, surgical curet was used to remove bone shaving from osteotomy site and gently explore the wall of the osteotomy next to the mental nerve. It was felt that there is no perforation. The patient reported minimal numbness post-op. Exposure and stretching the mental nerve during procedure may contribute to this type of minor nerve injury. Retrospectively, the implant could have been smaller in diameter: 4.0 or 3.5 mm. Restoratively these two implants should be splinted due to the angulation discrepancy. |
|
|
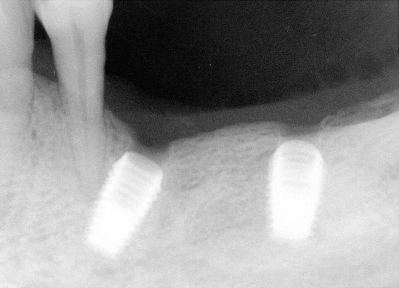
Fig.22 This PA was taken 14 months after #20 implant placement (2nd time). Two months later, final restorations were placed. | |
Please return to the top for summary.
The author has not obtained any financial support from outside. But he is very grateful for receiving advice from Dr. Craig Schille in this case.