![]() |
![]() |
![]() |
![]() |
![]() |
![]() |
![]() |
|
![]() |
![]() |
![]() |
|
![]() |
|||
Treat Open Bite Early
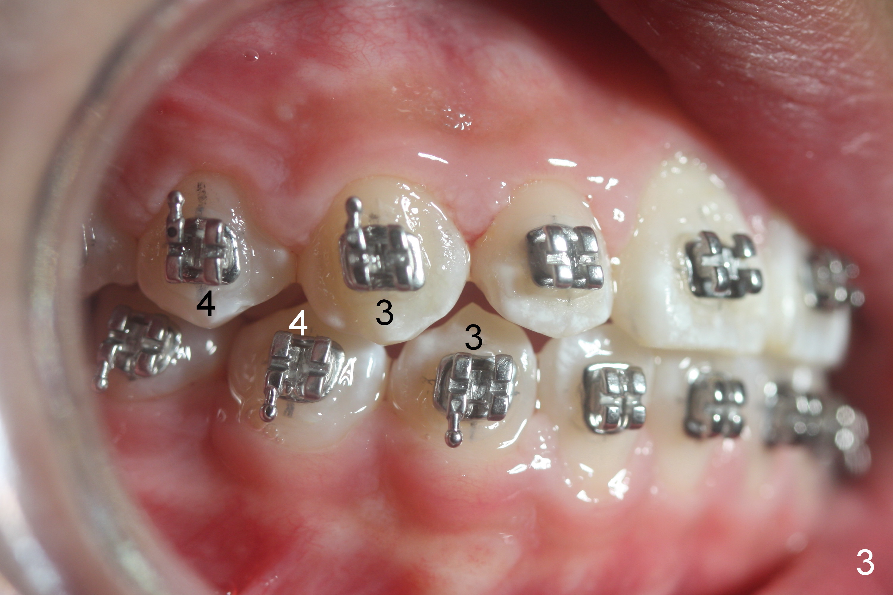
Dental midlines remain deviated to the left 2-3 months post banding (Fig.1). The facial profile (Fig.2) and the right occlusion (Fig.3) are within normal limit. There remains open bite on the left (Fig.4). After placement of .018' ss wires, power chains are placed between UR3-UL2 (Fig.5 ^) to close the diastema between UL 1 and 2 (Fig.4). An elastic is placed to close the open bite between UL 4,5 and LL 3,4 (Fig.5).
Three weeks later, the UL diastema closes; the mesial of UL2 has edge to edge contact with the opposing tooth (Fig.6 *). A rotation wedge is placed distally for UL2. The left posterior open bite is being reduced with a box spring; UL4 appears to have been mesialized (Fig.7 arrow).
Next visit, change to ss .020' wires, place continuous lace (ligature wire, figure-8) between UL2 and UR3 as distal as UR5, and use power chains to mesialize UL4. Reduce the lingual cusp of UL4 gradually to make it look like a canine. Use an elastic if indicated. Also consider mesializing LL6.
Three weeks later, the right posterior overjet increases, probably due to an elastic on the left to close open bite. Fixation lf the latter include constricting the existing upper wire, expanding the lower one and using 2 elastics on the right and 1 on the left. Start mesialization of UR4 using lace between UR5 and UL2 and power chain between UL1 and 4.
Eight days later, UR end of lace wire is displaced and cut. UR4 has contacted UR2. The right posterior overjet is within normal limit. The left open bite is nearly corrected. Next visit, change to .020' ss wires.
After minor adjustment (including power chain), our next task is to mesialize LL6 and 7 using Tomas miniimplant either mesial or distal LL4 (http://www.dentaurum.de/eng/tomas-anchorage-system-27526.aspx).
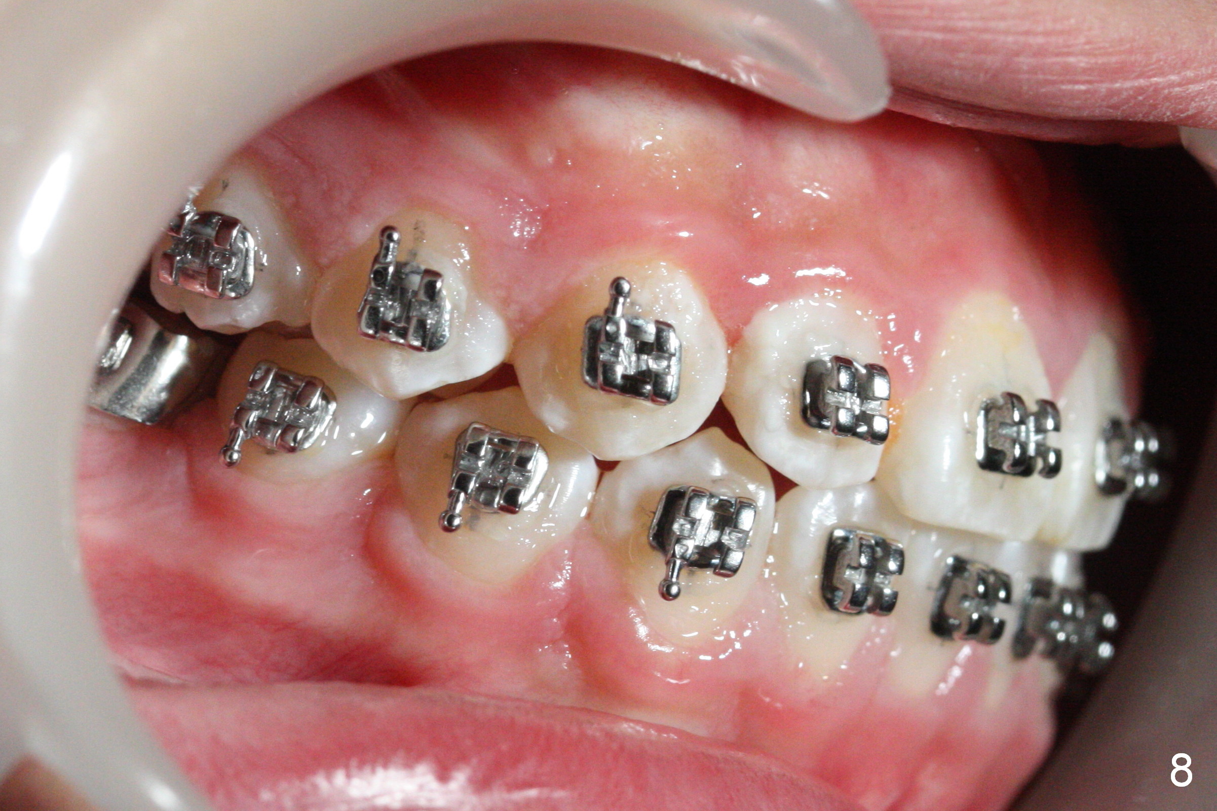
Eight months post banding, interdigitation on the right side remains acceptable (Fig.8), while there is upper midline diastema (Fig.9) and open bite on the left with LL spaces (Fig.10). Power chains and elastic are used for correction (Fig.11). Next visit take PA at LL 3 and 4 to determine whether there is enough space between the teeth for placement of a mini implant.
Return to Professionals,
Assistants
Xin Wei, DDS, PhD, MS 1st edition 05/27/2016, last revision 01/19/2018