![]() |
![]() |
|
![]() |
![]() |
![]() |
![]() |
![]() |
![]() |
![]() |
![]() |
![]() |
Two Congenitally Missing Teeth
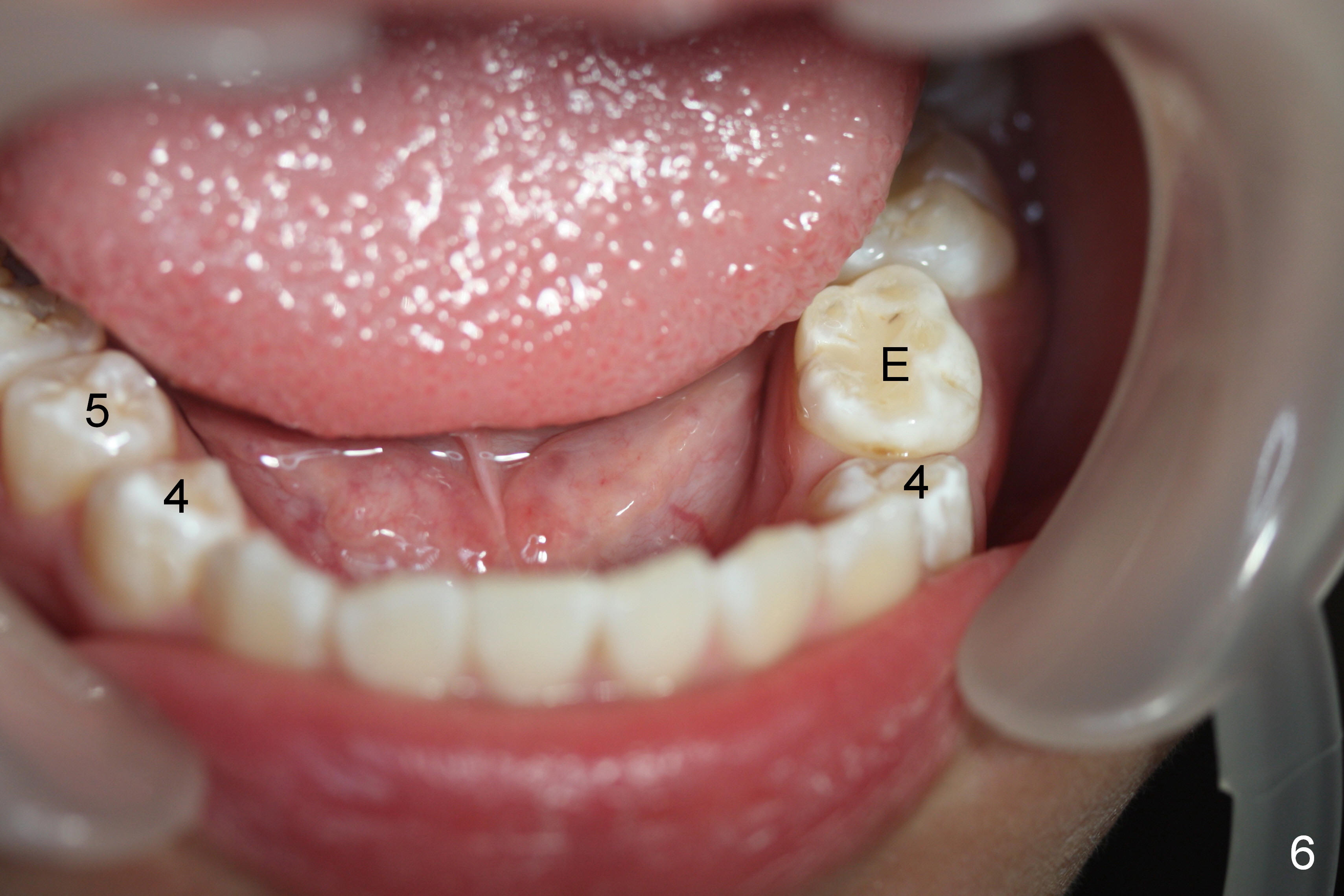
Panoramic X-ray taken 2.5 years ago shows two congenitally missing teeth: the upper left (UL) permanent canine and lower left (LL) 2nd bicuspid (Fig.1: 3, 5). Now the patient (she) is 11 years old. All of the decidual teeth have exfoliated except UL C (Fig.2 with mobility II) and LL E (Fig.5,6 E). The UL lateral incisor (Fig.2: 2) has cross bite, while there is open bite in the left bicuspid region (Fig.2,5 *).
There is bilateral Class II relationship (Fig.3,5), while the upper midline appears to deviate to the left (Fig.4).
Treatment plan is comprehensive orthodontics, keeping the 2 remaining decidual teeth as long as possible. Create space for the UL permanent canine as much as possible.
It appears that UL C is going to be exfoliated. When the patient turns 18, extract it and have an implant placed.
To close the open bite on the left, remove the mesial portion (Fig.7 *, blockage) of LL E so that LL 4 can erupt by itself or by orthodontic force (Fig.8 arrow). Reduce the distal portion of LL E if necessary (to fix left Class II malocclusion). LL E is apparently submerged.
In the following recall visit, the mother does not like the idea of implant option. She wants to close deciduous tooth (C, E) spaces. Wax up shows that the latter option is feasible by mesializing the posterior teeth (Fig.9-11).
Return to
Professionals,
Assistants,
Progress:
Open Bite
Treatment
Extraction for Midlines
Xin Wei, DDS, PhD, MS 1st edition 05/31/2015, last revision 10/21/2018