![]() |
![]() |
![]() |
![]() |
![]() |
![]() |
![]() |
![]() |
![]() |
![]() |
![]() |
Extraction for Midline Deviation Correction
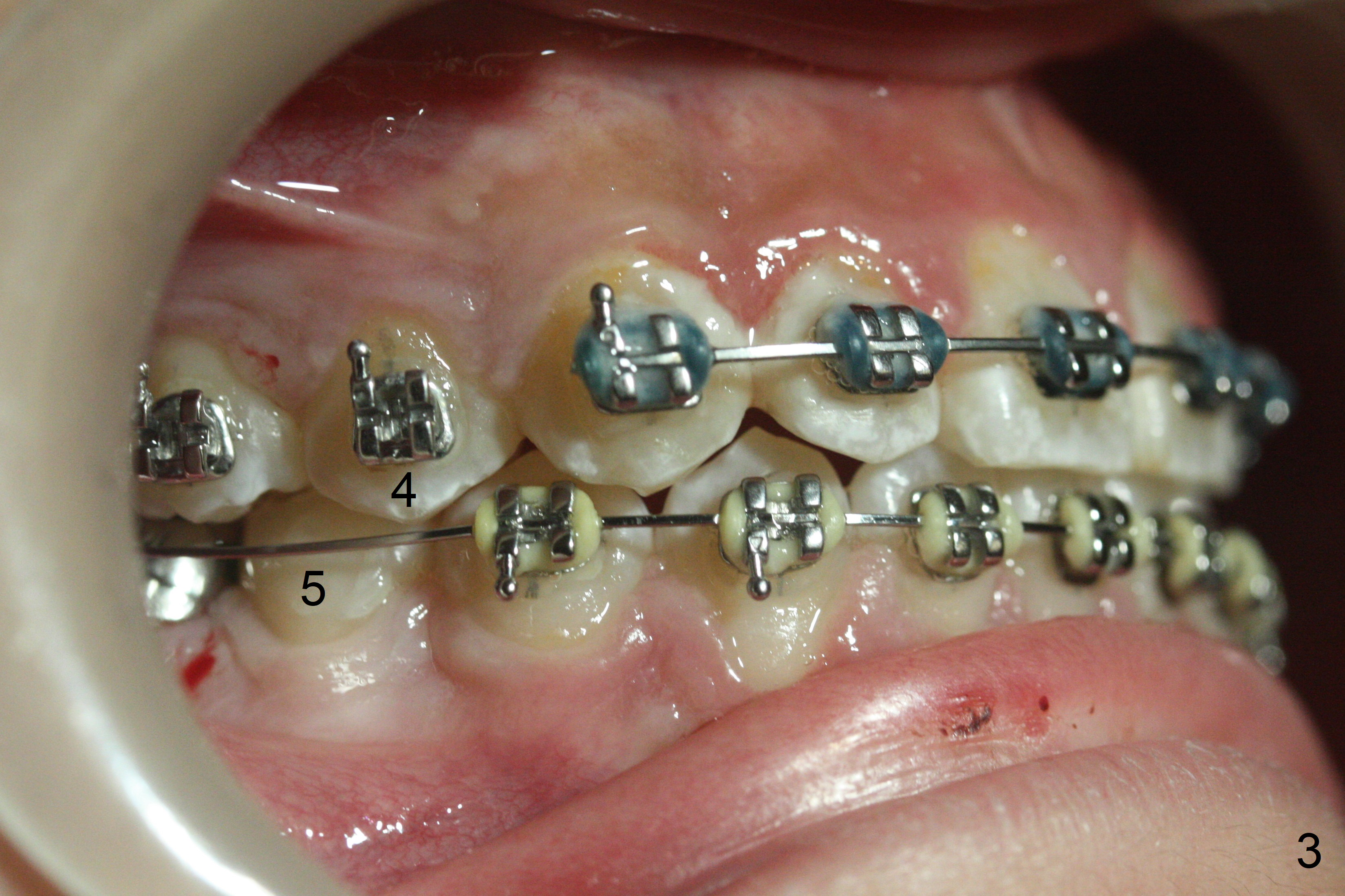
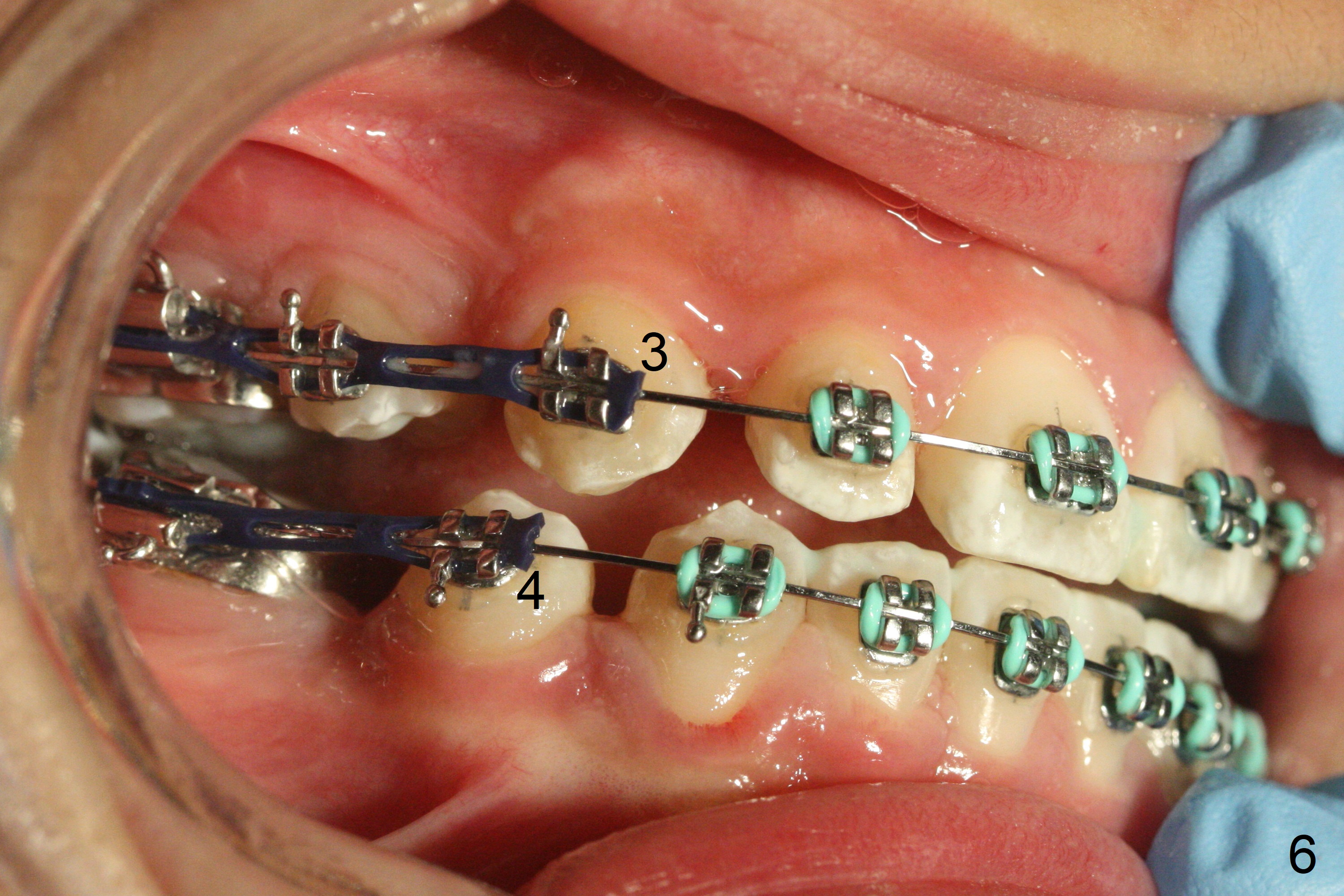
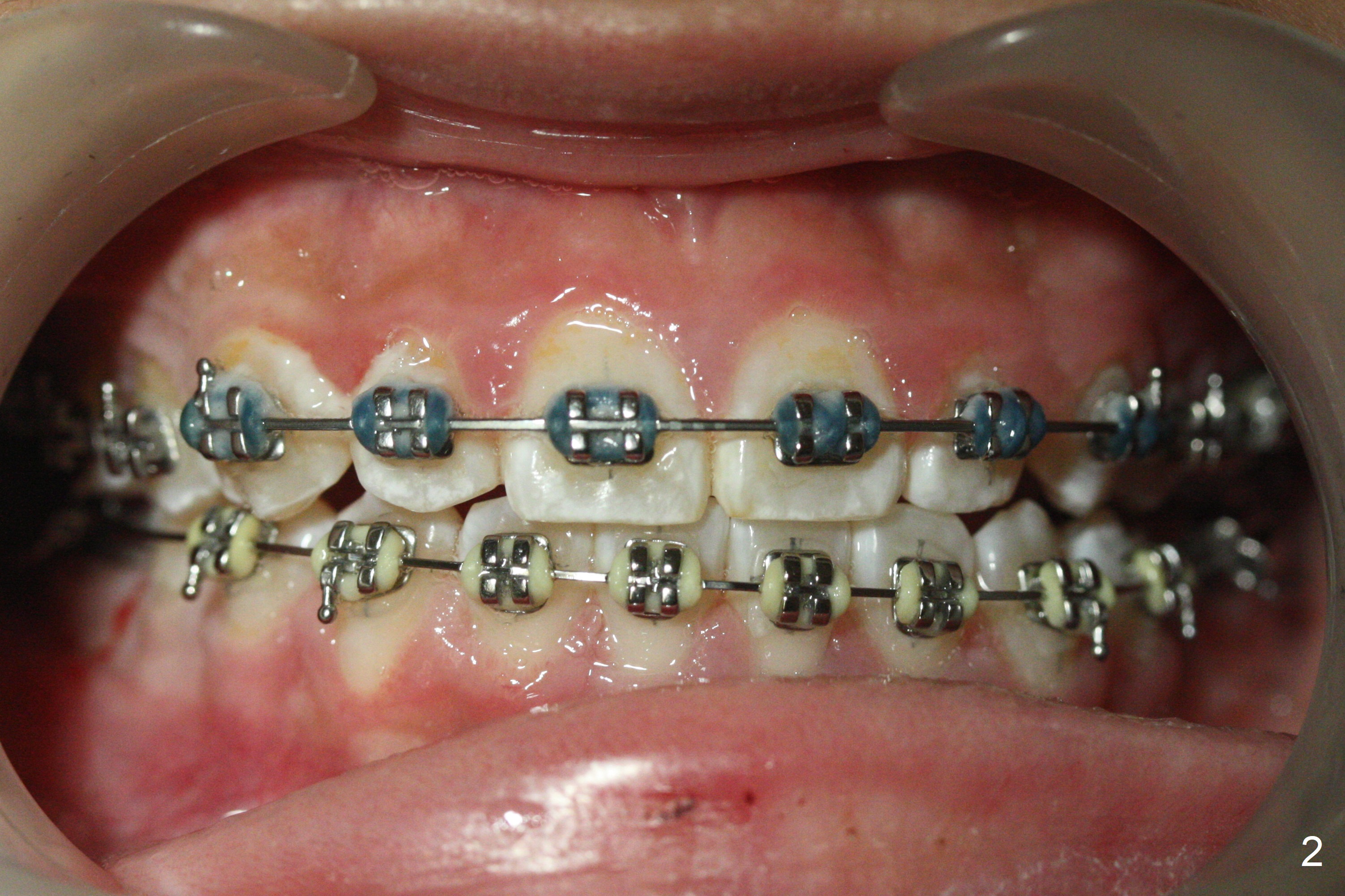
The mother of the 13-year-old girl notes the midline deviation near the end of the treatment (13 months post banding; Fig.1-4). The teeth UR4 and LR5 are extracted for correction of midline deviation. Spaces are created 3 months post extraction and 2 months post retraction with power chain (between UR 3 and 6, LR 4 and 6; Fig.5,6 (16x16 wires)). Next visit pay attention to midline changes. Retract the next mesial teeth (UR2, LR 3) when UR3 and LR4 distalize by 3/4 and 4/5 mm, respectively. In fact 4 months post extraction and 3 months post retraction, the dental midlines remain unchanged, since no spaces have been created by themselves between U1s and between LR1-2 (Fig.7,8); power chains are extended mesially after arch wires are changed to 16x22. The periodontal ligament between the neighboring teeth contributes to self drifting. Place figure-8 wire between the posterior teeth as anchorage if anterior tooth shifting is required.
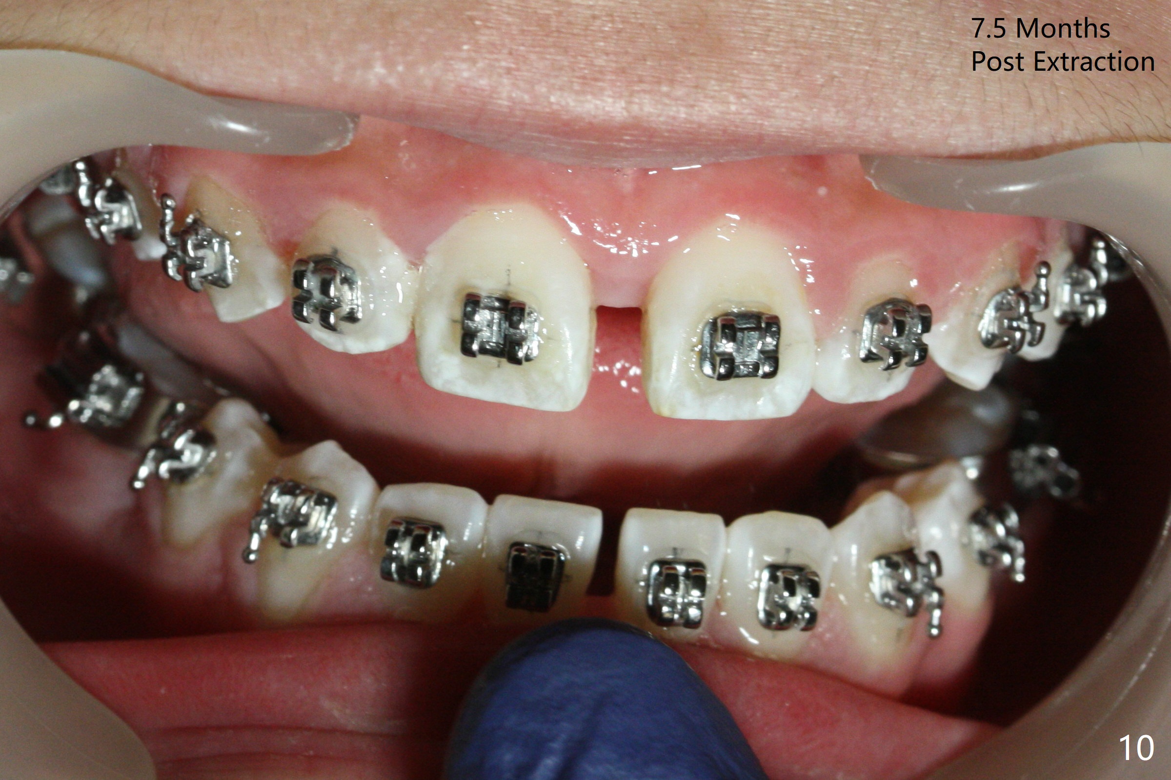
In fact retraction of UR2 does not distalize UR1, while retraction of LR3 distalizes LR2 partially (Fig.9, nearly 6 months post extraction). Ligature wire is used to tie UR2-6 and LR 3-6 as anchors to distalize UR1 and LR2. UR1 retracted distal, midline matches, LR1 shy 1 mm from midline, with R1-6 tie, retract L1s to R with power chains x4 (L x3,x4; Fig.10,11 (7.5 months post extraction)).
Return to
Ortho
Cases
Xin Wei, DDS, PhD, MS 1st edition 04/05/2017, last revision 10/21/2018