![]() |
![]() |
![]() |
![]() |
![]() |
![]() |
![]() |
![]() |
![]() |
![]() |
![]() |
![]() |
![]() |
Extraction and Banding
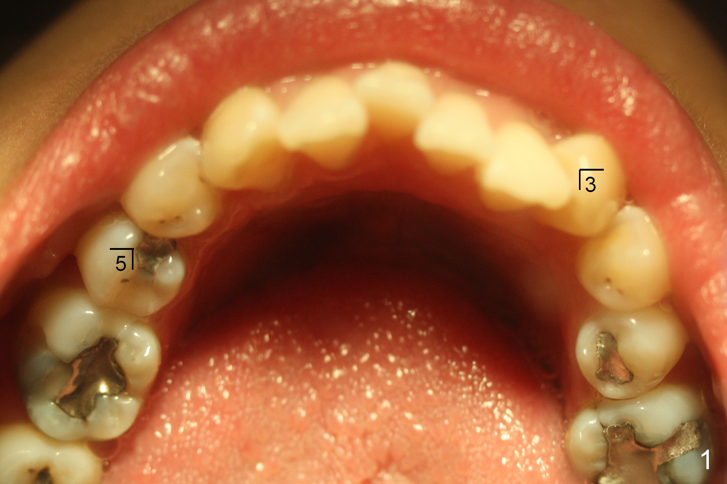
The lower 4s are expected to be extracted. On the day of surgery, LR 5 is found to have been heavily restored (MO amalgam, DO composite, Fig.1); the prognosis is less favorable than LR 4. So the former is extracted (Fig.2).
On the other side, the canine area is crowded (Fig.1: 3). Therefore the lower left 1st bicuspid is extracted (Fig.2). Fig.2 is taken on the day of banding (2 weeks post extraction). A Niti wire (.014") is used. According to model surgery, the anterior teeth are to be distalized (Fig.2 arrows).
Three and a half months later, alignment improves (Fig.3-5). The present wires are .018" stainless steel (ss), which will be changed to .020" ss.
Next visit .016x.016" ss wires will be used. Two closed coil springs are placed between LR4 and 7 (Fig.4) and LL3 and 6 (Fig.5). The upper teeth will be retracted once the lower counterparts have achieved initial movement. Mini-implants are expected to be placed for upper retraction the following visit.
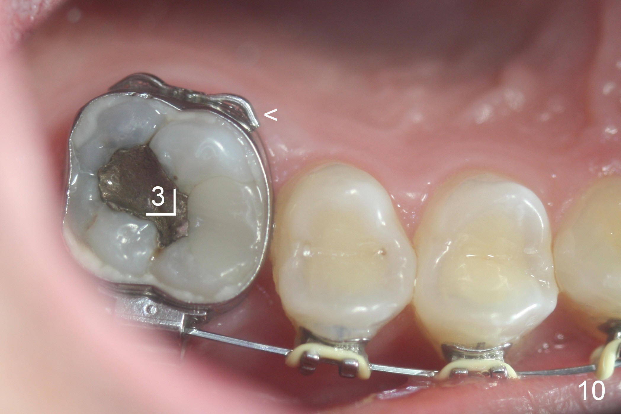
Four months post bracketing, two of 8 mm Ancor Mini-implants are placed at the sites of the upper 2nd molars and power chain of 3 placed between the 1st molars and the mini-implants (Fig.6,8). Niti Closing Springs (12 mm and 9 mm) are placed between LR4 and 7 and LL 3 and 6, respectively (Fig.7,9, 16x16 ss wires). The forces are 100 and 150 mg, respectively.
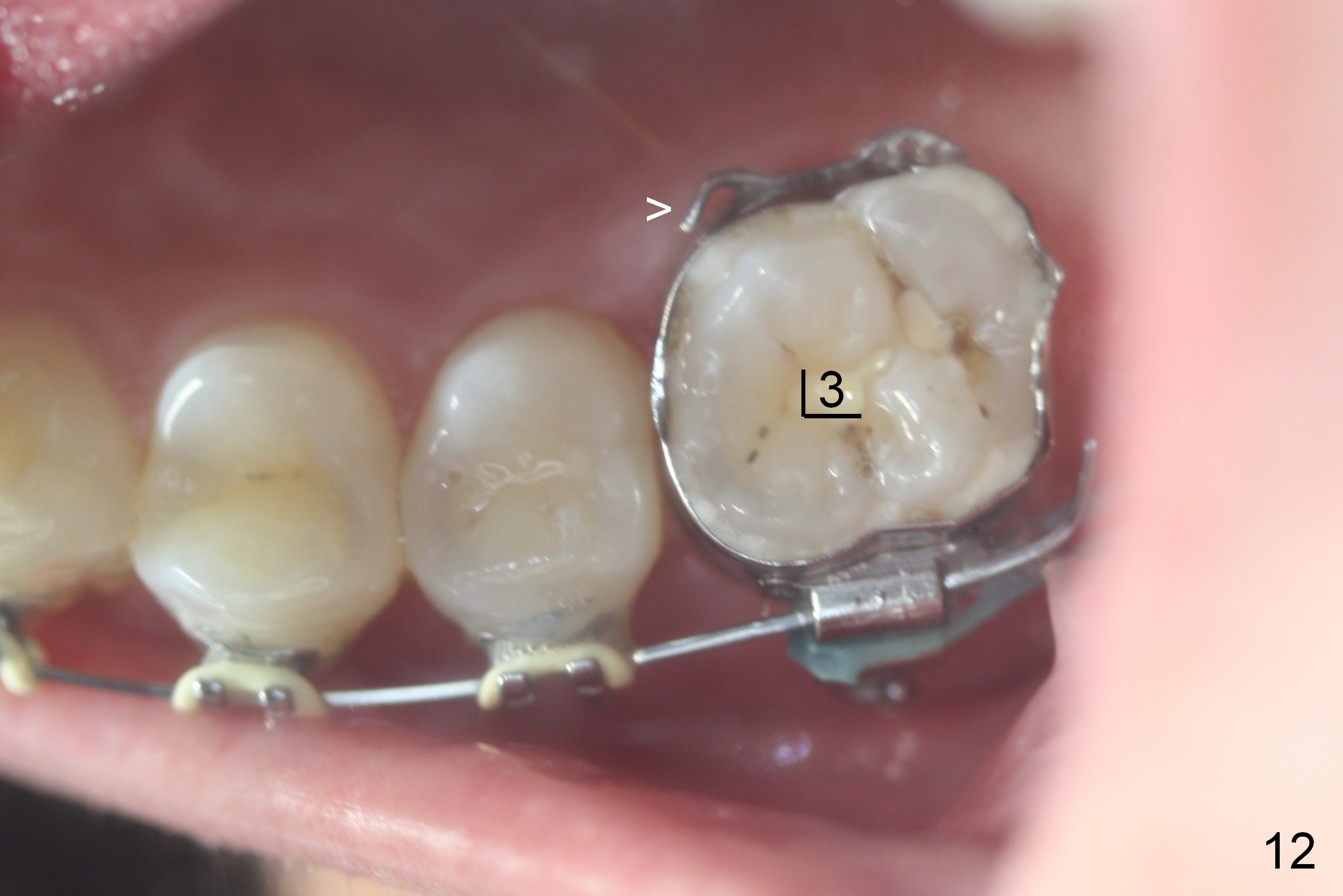
Two weeks later, it appears that U3s do not move distal (Fig.10,12), whereas the lower teeth do (Fig.11,13). Power chains change to 2 with grey ones. If no more change occurs in 1 week, change to next wires with power chains x 4 with one end attached to the lingual cleat (Fig.10,12 arrowheads) so that U3s may evenly (buccal and palatal) move distal. If LL3 keeps moving much faster than LR4, switch the closed coil springs.
Upper tooth distalization seems to be slow. Five and a half months post bracketing, closed coils springs are placed between the mini-implants and the upper posted wire.
Professionals Implant & Ortho 2 植牙,导板与正畸
Xin Wei, DDS, PhD, MS 1st edition 03/29/2015, last revision 01/02/2021