![]() |
![]() |
![]() |
|
![]() |
![]() |
![]() |
![]() |
![]() |
![]() |
![]() |
|
![]() |
![]() |
![]() |
|
![]() |
|||
Maxillary Teeth Appear to be Retracting with Mini-implants
LR4 (Fig.1) and LL3 (Fig.2,3) are distalized 7.5 months of ortho treatment (1,2). Next step is to retract LR3 with closed coil spring (Fig.4) and de-rotate LL3 with a rotation wedge (Fig.5 *). The upper arch appears to be slightly in cross bite (Fig.4) 2 months after closed coil springs placed between the upper posted wire (<) and mini-implants (placed in the buccal tuberosity). Profile needs to be improved (Fig.6,7).
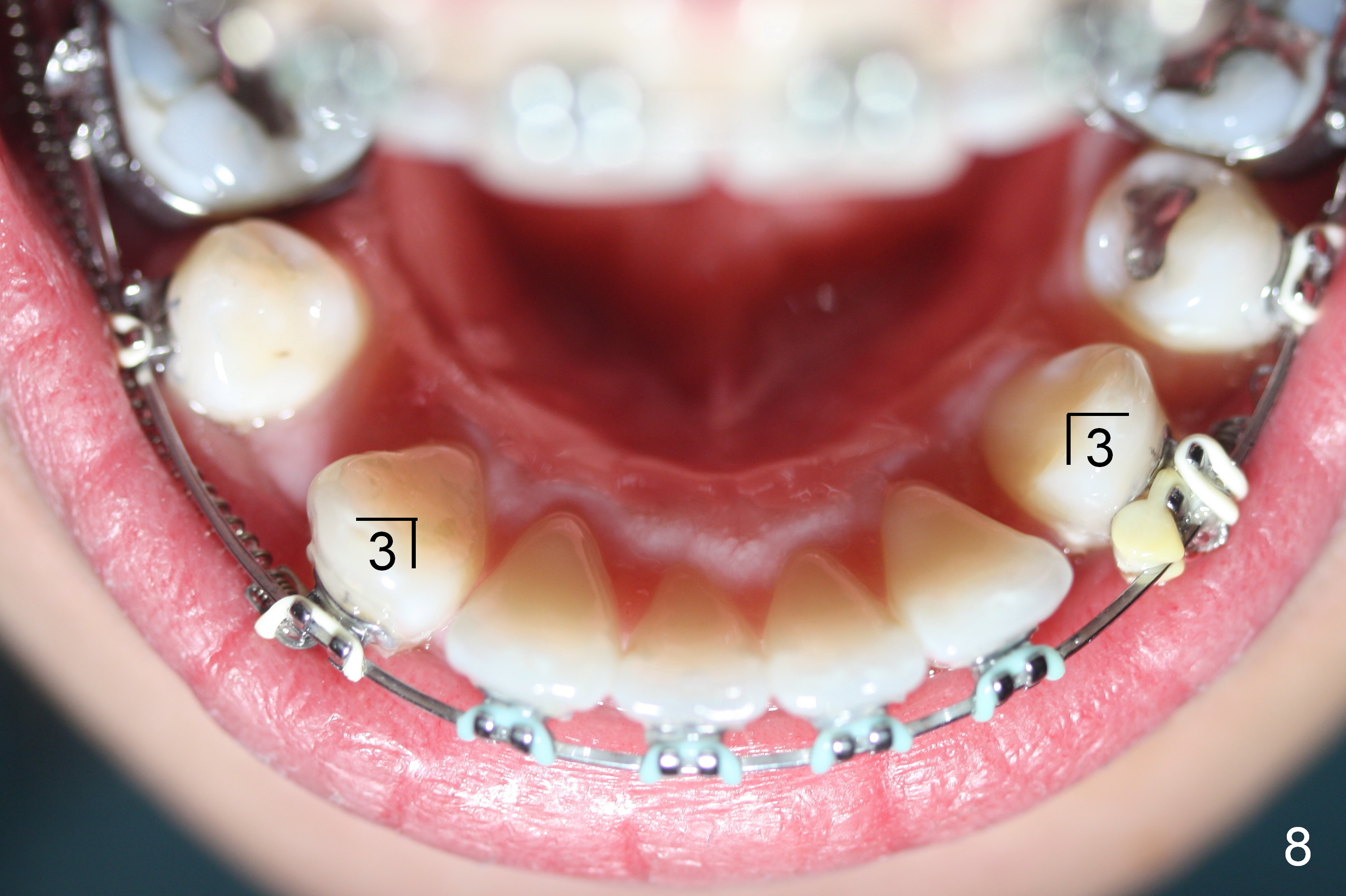
LR 3 shows no sign of distalization the 1st month after placed under closed coil spring (Fig.8), but obvious change occurs the 2nd months (Fig.9,10). Without closed coil spring, LL3 rotation (Fig.5) self corrects (Fig.8), but the tooth bounds back mesially. Closed coil spring is reloaded on LR3 9.5 months of treatment. If L3 are both distalized next visit (10.5th month), use a posted wire to distalize the lower incisors together.
On March 9, 2016 (11.5 months of treatment), periodontal abscess develops around UR6 (Fig.11 (palatal view) *). It appears that the molar band as well as the buccal tube (Fig.12 *) is embedded into the gingiva. One week after band removal (as well as posted wire and closed coil springs), the infection resolves (Fig.14). As compared to preop Panoramus (Fig.13), the upper arch distalization is mainly at the crown level (Fig.4 arrows). The miniimplants should be placed higher (at the zygomatic arch); the post should be taller. Therefore the roots can be distalized as well (click the link below).
http://link.springer.com/article/10.1007%2Fs00056-014-0214-z
Return to Professionals
Implant & Ortho
2
植牙,导板与正畸
Xin Wei, DDS, PhD, MS 1st edition 11/04/2015, last revision 01/03/2021