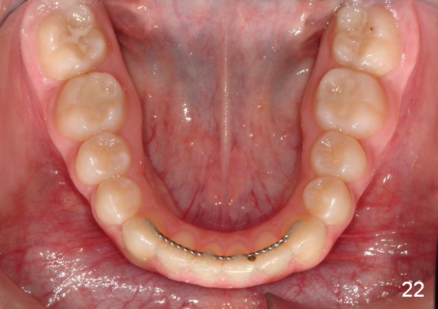
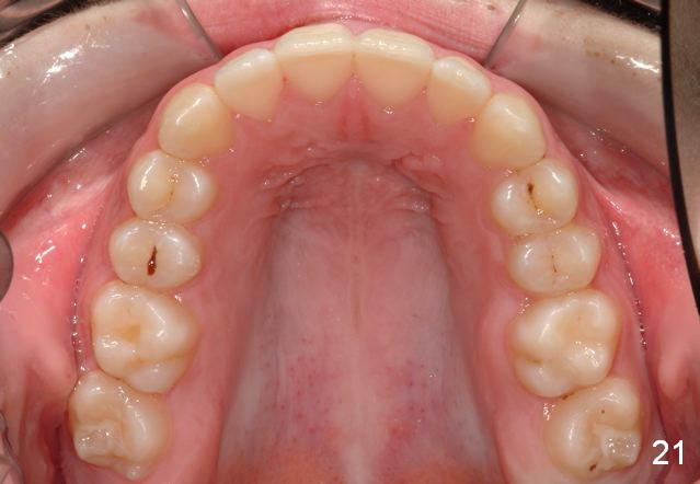
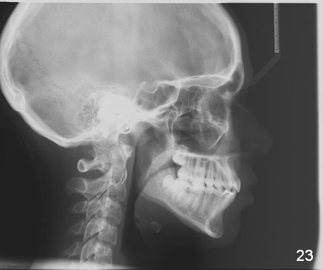
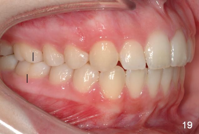
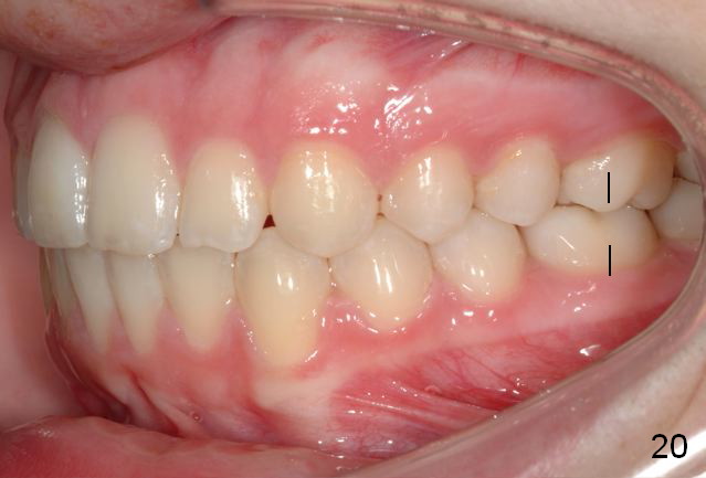
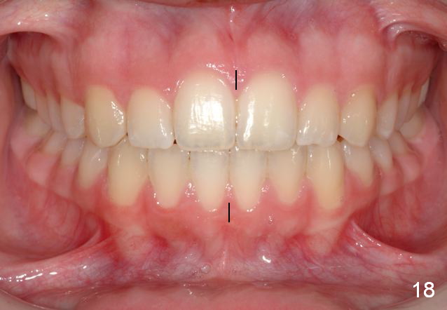
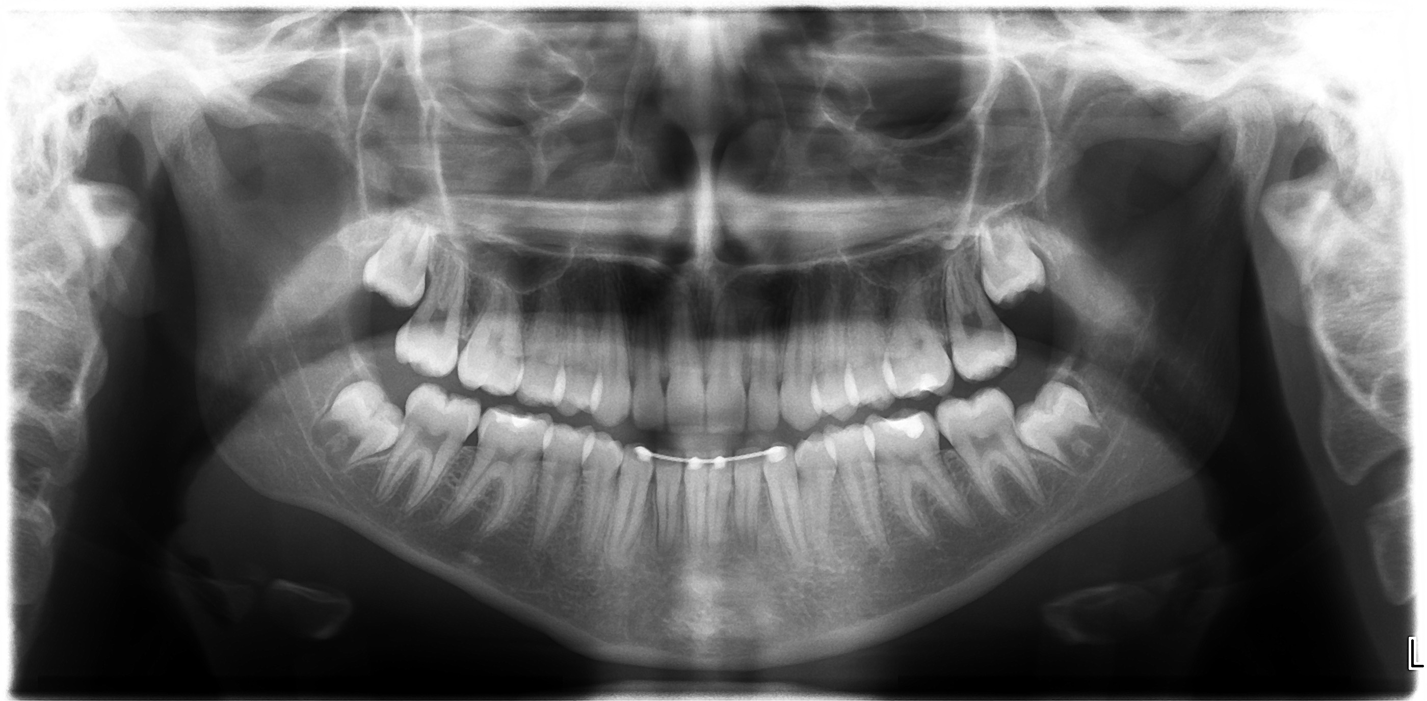
Final Results of Unilateral Class II Malocclusion

After using Rapid Molar Distalizer.  Total treatment lasts 50 months.

Return to Dr. Shaughnessy's Ortho Cases

Xin Wei, DDS, PhD, MS 1st edition 08/06/2016, last revision 08/06/2016