![]() |
![]() |
![]() |
![]() |
![]() |
![]() |
![]() |
![]() |
![]() |
|
![]() |
![]() |
![]() |
||
Maxillary Retrusion Post-Orthodontic Treatment
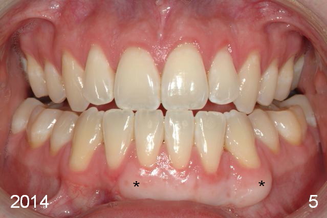
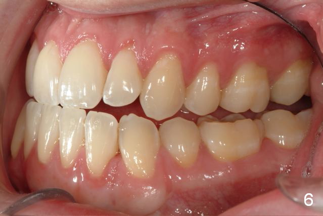
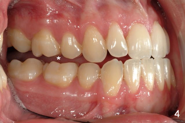
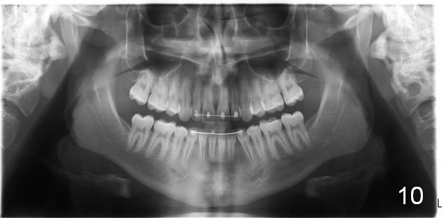
Initial information was obtained on 02/26/2014 (Fig.1-10). Anterior edge-to-edge and Posterior Open Bite (Fig.4 *): unfavorable differential Class III growth after orthodontics as a child.
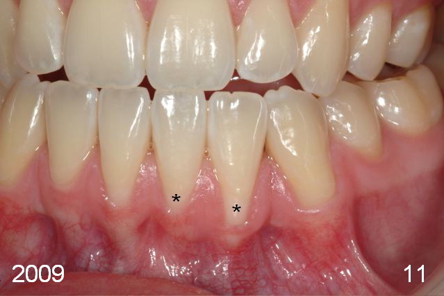
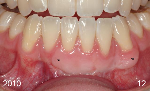
The labial gingival recession of the lower anterior teeth (Fig.11) was treated with gingival graft (Fig.5,12*). One of the last things Chip Webster did before he died! God rest his soul.
Return to Dr. Shaughnessy's Ortho Cases,
Progress, Final
Xin Wei, DDS, PhD, MS 1st edition 04/03/2016, last revision 04/03/2016