Pre-op Ortho

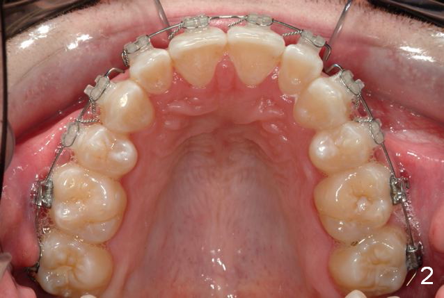
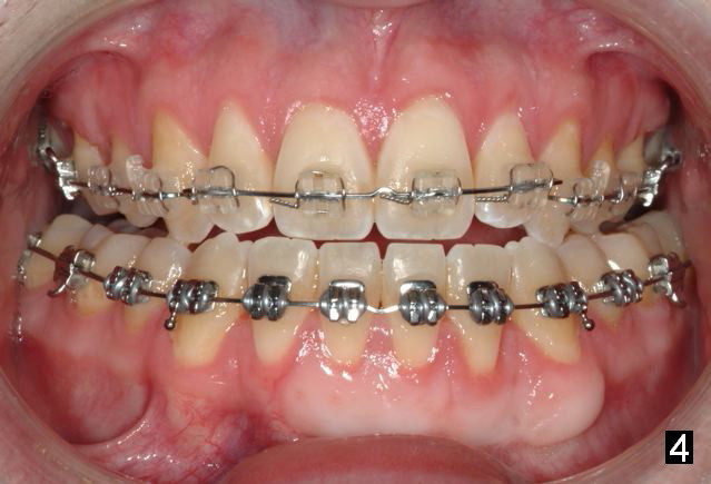
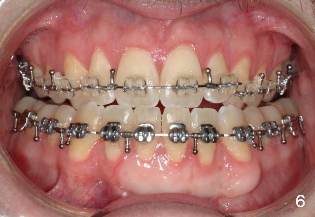
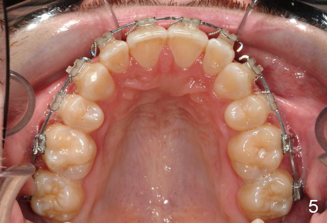
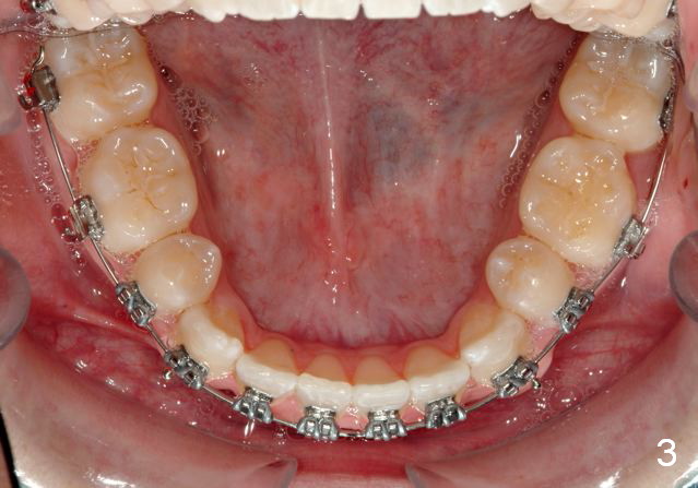
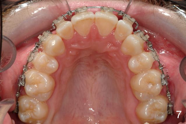
Initial bonding on 08/04/2014 (Fig.1-3); follow up appointments (09/20/2014 (Fig.4,5); 11/11/2014 (Fig.6,7), prepared for maxillary segmental surgery to expand, advance, and level.

What is your arch wire sequence in this case, particularly the last one (unique, what is the name)?  Did you change wire in between (between 3 apt)?  Thanks.

I routinely start off with a round NiTi AW, like .014 in the .018 slot, then to .016 and up to 16X22 NiTi. Then I go to rectangular SS.  I segmented the AW to facilitate the surgery.

How do you attach hooks to AW?  Thanks.

Mine are crimpable. Very convenient, you just squeeze them onto the AW right where u want them. I provide them for the oral surgeon for jaw surgery cases.

What is advantage to segment AW initially (in the 1st appointment of bonding, Fig.1,2)?  

Avoids compensating teeth and building in instability in a surgery case.
A continuous AW would align AND 'level'. The rule is never move teeth before surgery in a direction they will be corrected at the time of surgery. This concept we may need to talk in person.

Thanks.  It is my understanding that preop ortho is to decompensate, in your case, make anterior cross bite worse so that there is more room to correct the cross bite.  In fact the lower continuous AW does work toward my dream goal.  How to correct proclined upper anteriors?

Your understanding is spot on!

Return to Dr. Shaughnessy's Ortho Cases, Initial, Final

Xin Wei, DDS, PhD, MS 1st edition 04/03/2016, last revision 04/04/2016