![]() |
![]() |
![]() |
![]() |
![]() |
![]() |
![]() |
![]() |
![]() |
|
![]() |
![]() |
|||
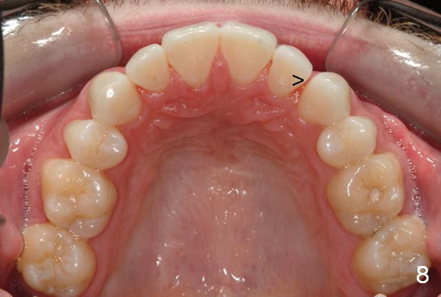
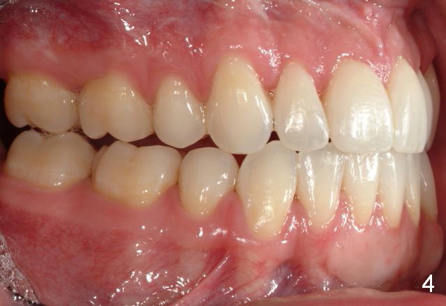
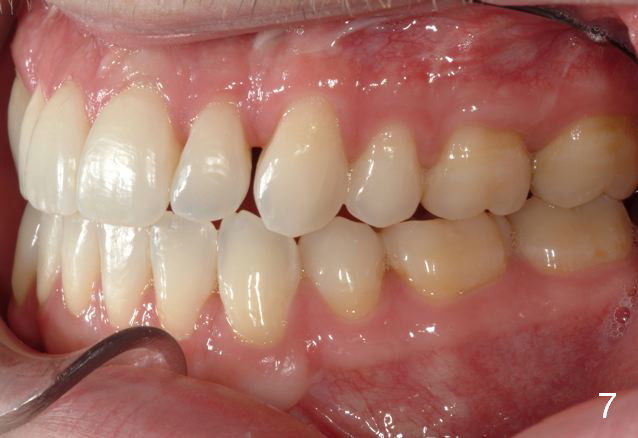
Occlusal Adjustment
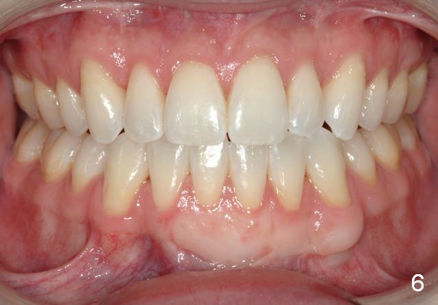
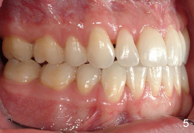
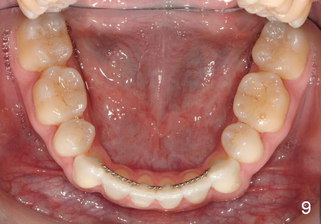
Final photos are taken on 03/23/2016. Mid face deficiency improved, now just a hint (Fig.3). Before (Fig.4,10) and after (Fig.5-9) occlusal adjustment of the canines.
BTW: Philip reports a life changing event! Why? Not just because he can chew his food better and has improved appearance, but he can breathe as a result of maxillary expansion and advancement. He said that his only regret was that he did not correct it sooner;-) He had seen allergists, ENTs, and pulmonologists prior to orthodontics and surgery.
Return to Dr. Shaughnessy's Ortho Cases,
Initial, Progress
Xin Wei, DDS, PhD, MS 1st edition 04/03/2016, last revision 04/04/2016