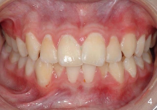
Before: Front view, anterior crowding.  Fig.5-4 (after): Dental Midlines Match.

 Lip Incompetence (Before), Lingual Retainer (After)

Xin Wei, DDS, PhD, MS 1st edition 12/26/2014, last revision 12/26/2014