Initial: Lip Incompetence

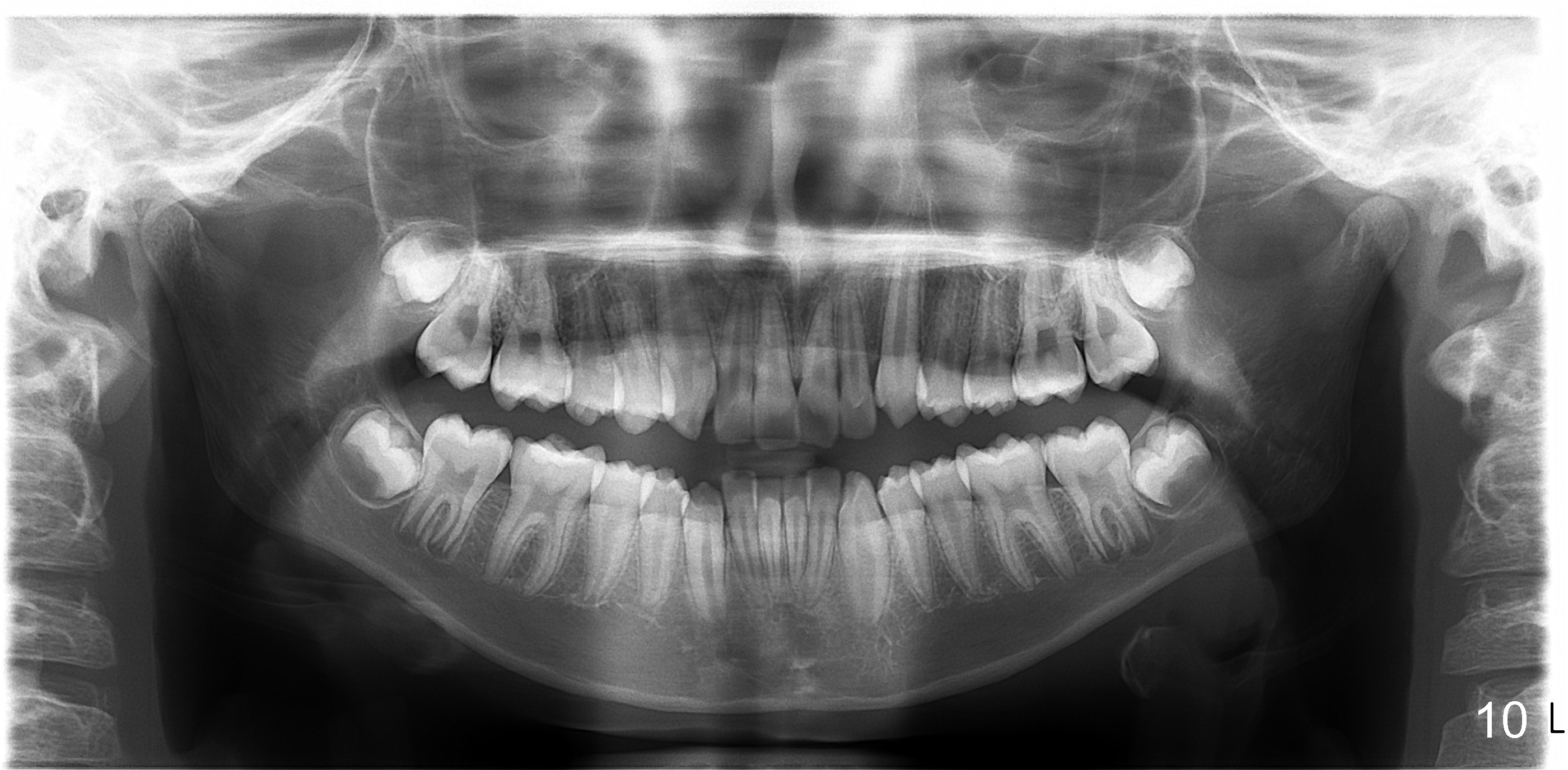
Photos were taken on May 29, 2012 (Fig.1-8), ceph and pan May 24, 2012 (Fig.9,10), post-extraction ceph July 30, 2012 (Fig.11).

Dear Shaunghness: I looked at the initial photos briefly.  What is the cause of bimaxillary protrusion (premaxillary only?)?  Age of the patient?  Sinus infection or sleep on sides?  How did you decide to extract 4 bi?  By quick clinical and ceph scanning?  Retention still involves lingual retainer(s)?  The last question may be answered by your next two messages (1,2).  Thanks.

I made the decision to extract 4 teeth because I thought the pt was too protrusive, lip incompetent. Non ext would make worse---simple as that! 
I still place fixed retainer because I don't trust the teeth to stay, extraction or non.

Return to Dr. Shaughnessy

Xin Wei, DDS, PhD, MS 1st edition 12/26/2014, last revision 12/26/2014