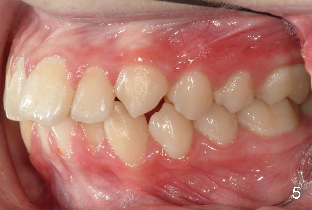
Before: Canine Class II, molar: Class I. After: Both Class I.

 Lip Incompetence (Before), Lingual Retainer (After)

Xin Wei, DDS, PhD, MS 1st edition 12/26/2014, last revision 12/26/2014