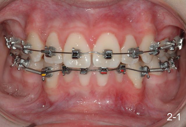
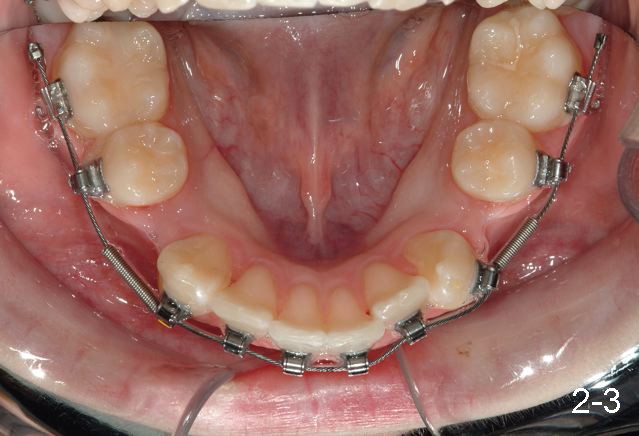
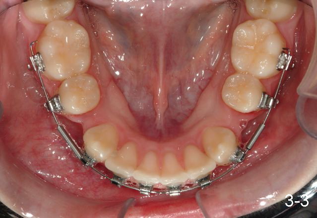
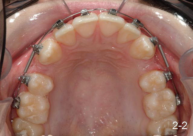
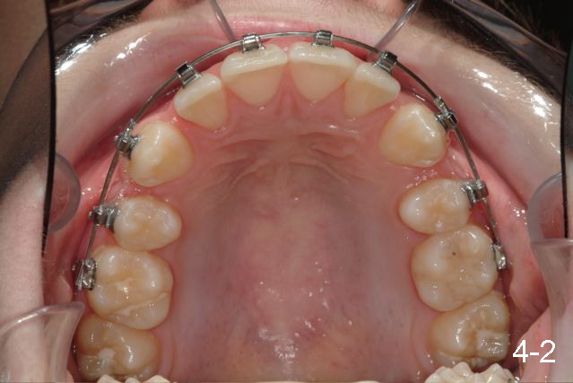
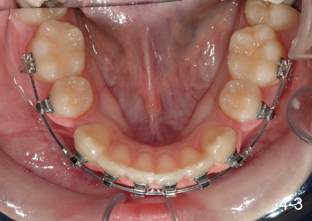
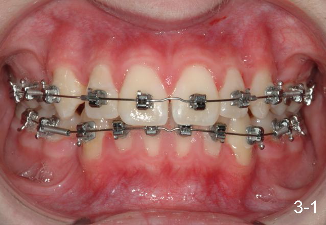
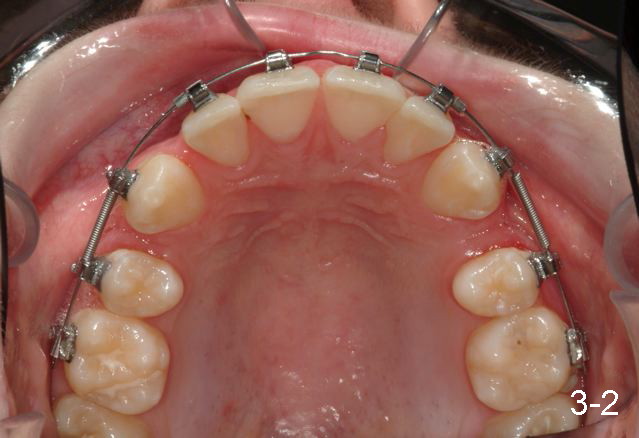
Progress: Self Correction

The photos in the first row were taken on November 19, 2012; 2nd row January 2, 2013; 3rd row June 10, 2013.

Teeth self correct after extraction?  Can ceph show that?  When the bi were extracted?  1 or 2 month? 

The spaces did close spontaneously quite a bit in the lower. This was probably due to the fact that the lip pressure helped.
Sent from my iPhone

What is the mechanism of upper canine distalization?

Final results.

Return to Dr. Shaughnessy

Xin Wei, DDS, PhD, MS 1st edition 12/26/2014, last revision 12/27/2014