![]() |
![]() |
![]() |
||
![]() |
![]() |
![]() |
![]() |
![]() |
![]() |
![]() |
![]() |
||
![]() |
![]() |
![]() |
||
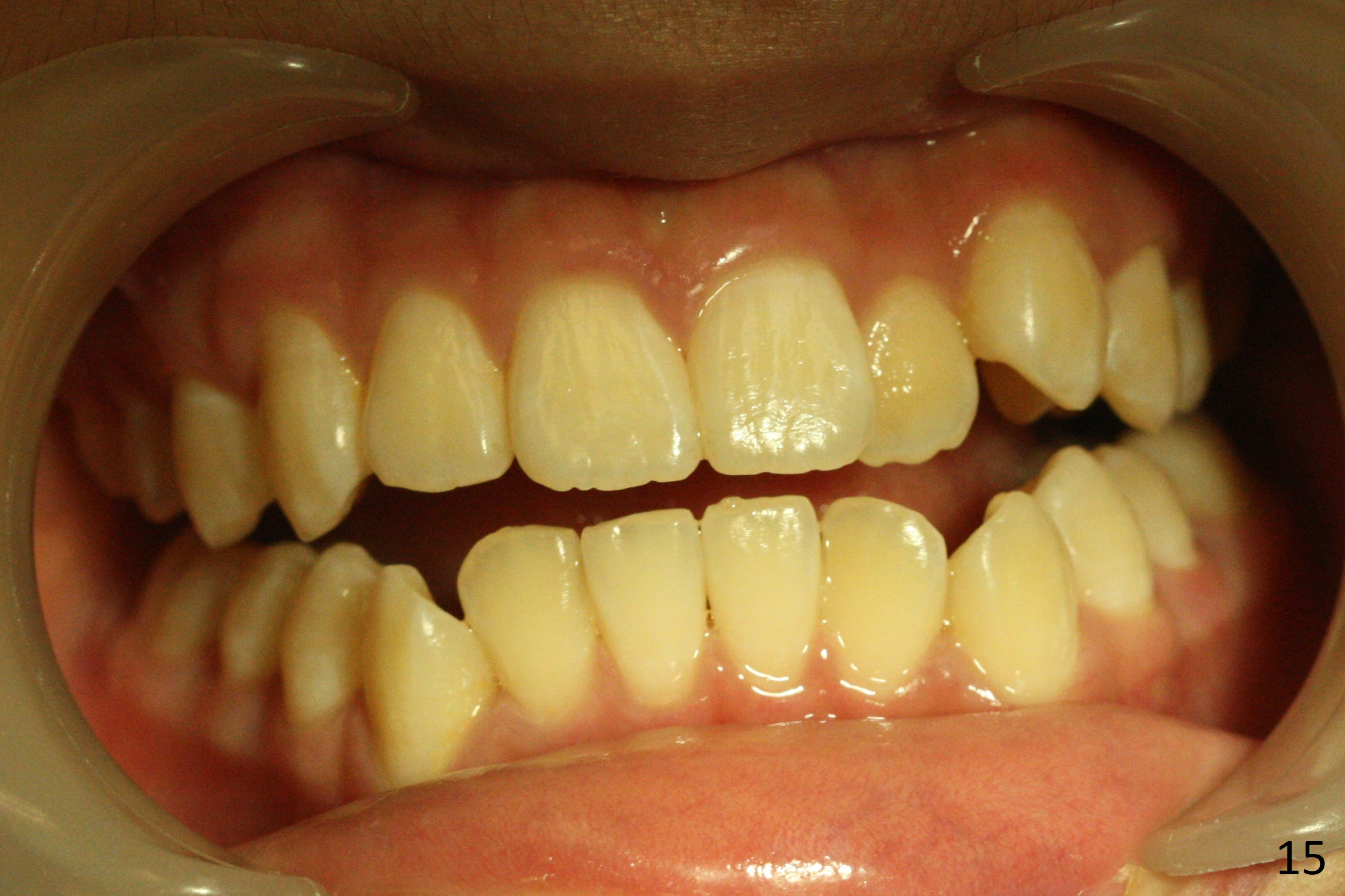
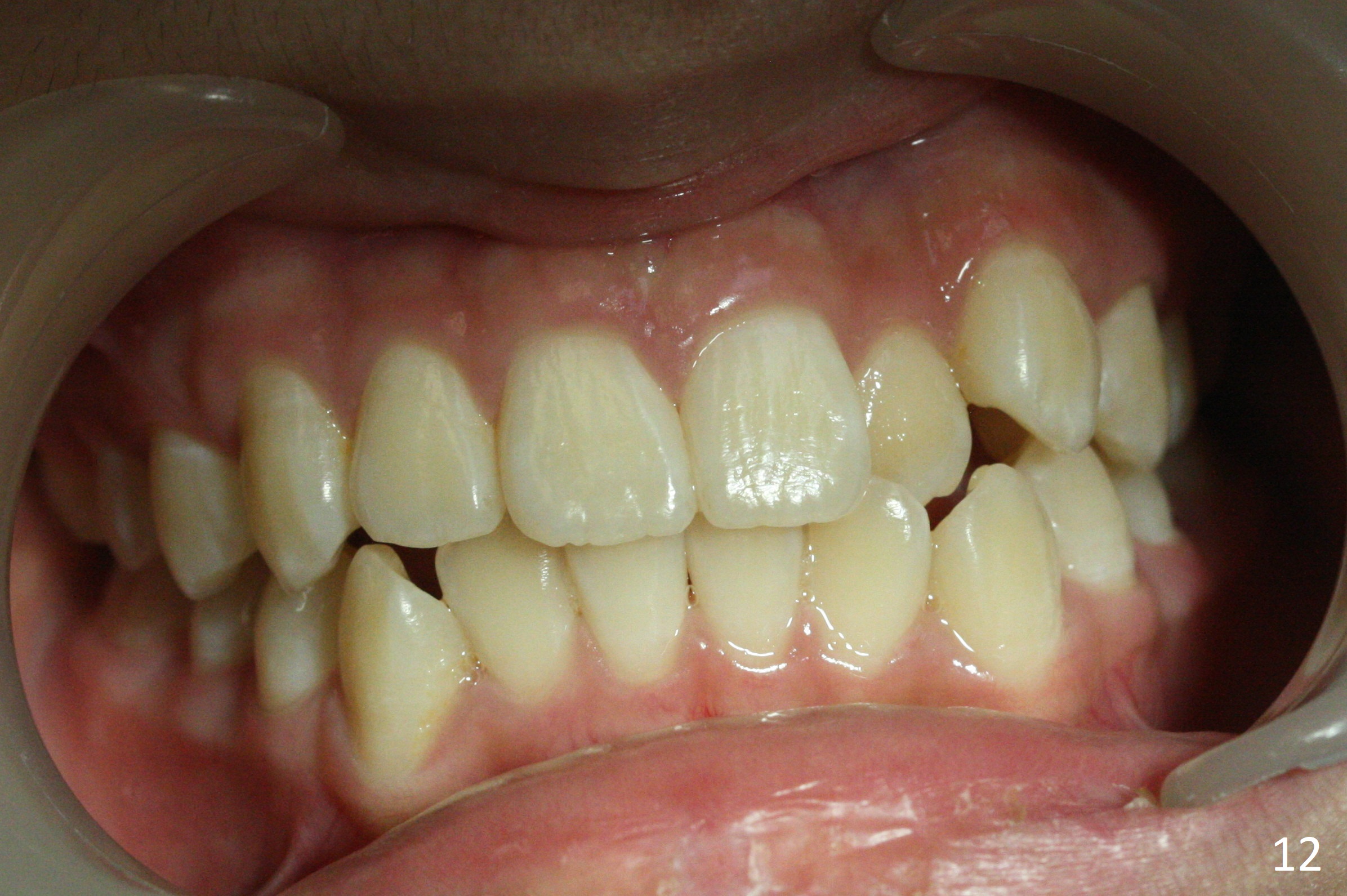
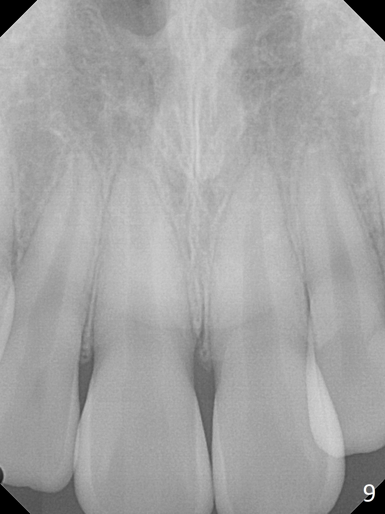
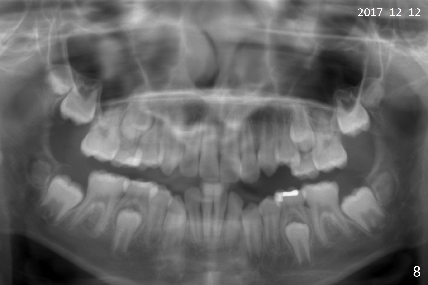
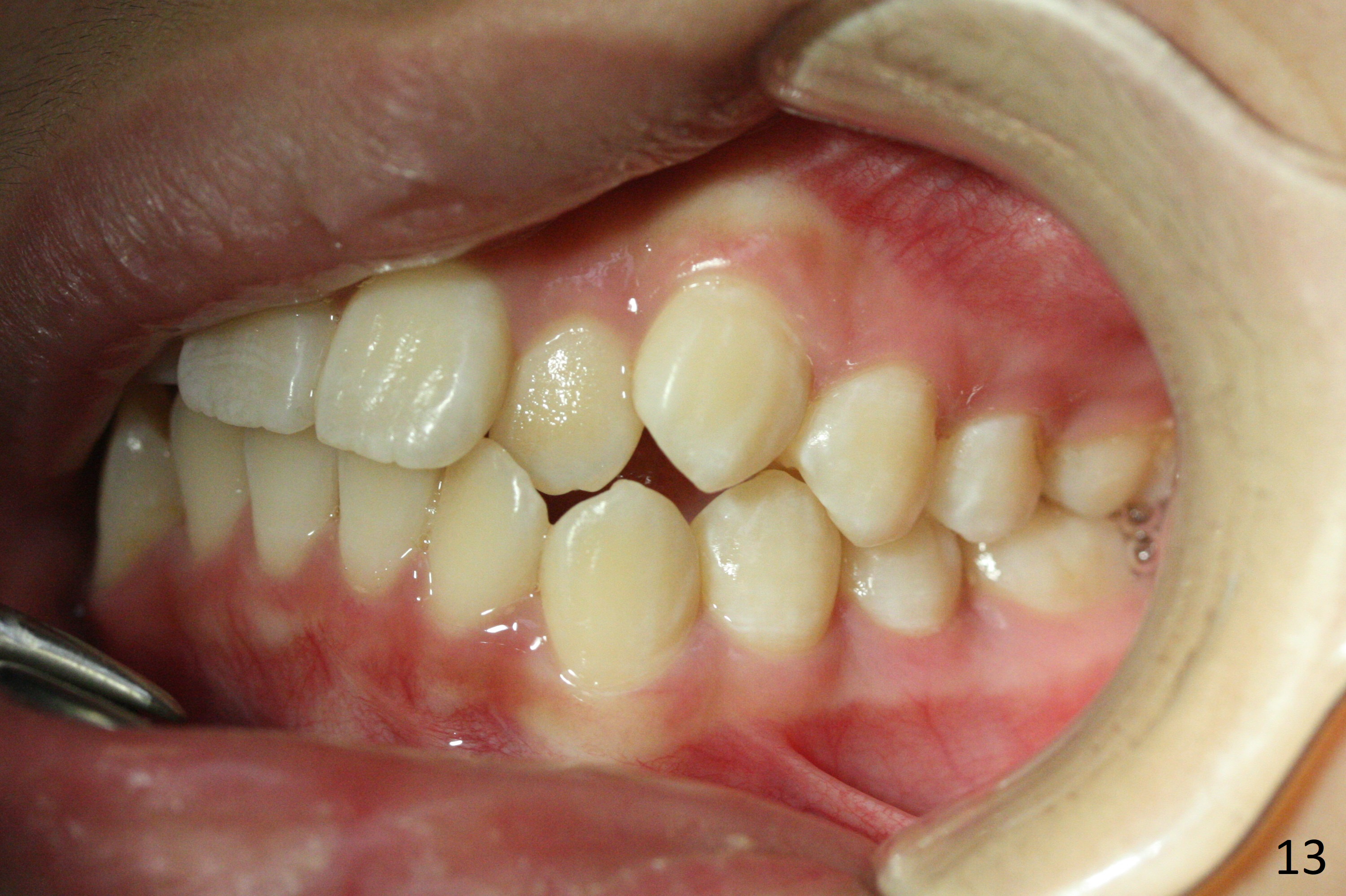
Shallow Overbite
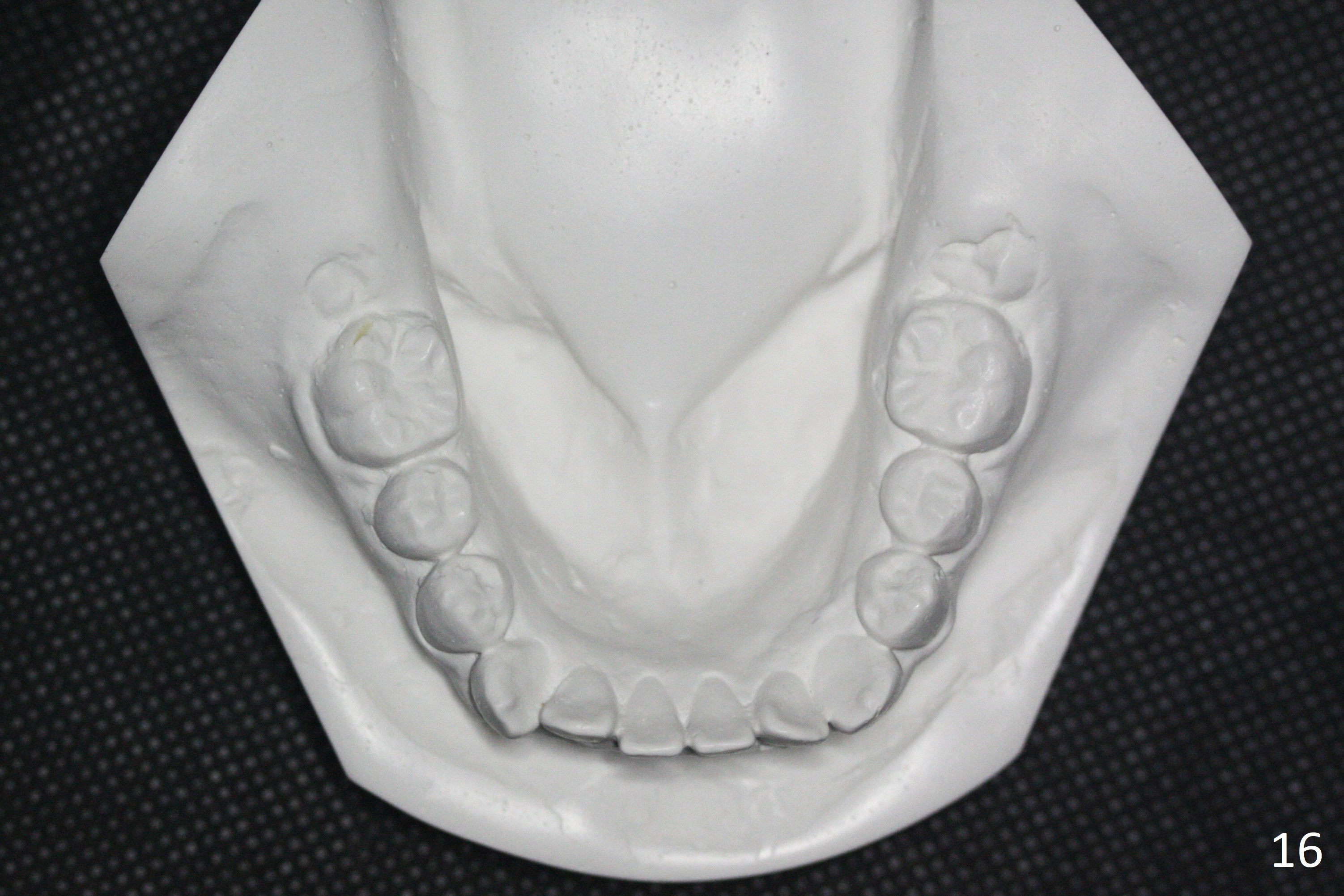
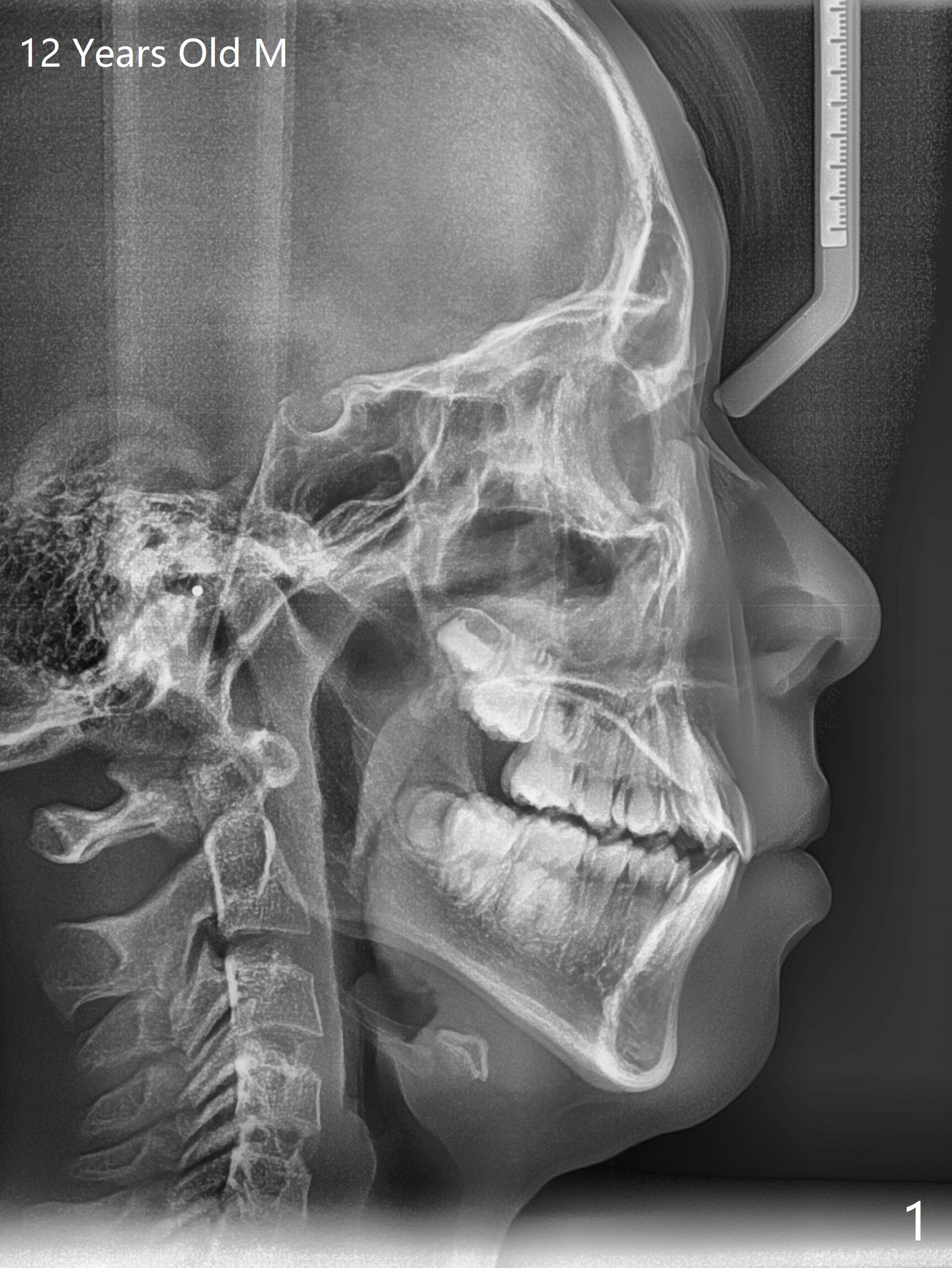
A 12-year-old man has mild lip protrusion (Fig.1,6,7). Orthodontics will be conducted without extraction. Unlike his elder brother, the overbite is shallow. With anterior bracket differential (4-4-5 mm) and mild bimaxillary protrusion, open bite will be created? Or 4-4-4.5mm scheme should be adopted to avoid open bite?
Return to
Ortho Cases Elder Brother:
Non-Extraction
Deep Bite
Impression
Xin Wei, DDS, PhD, MS 1st edition
06/23/2019, last revision
06/24/2019