| Before 11 y | After 14 y |
|
|
|
![]() |
![]() |
![]() |
![]() |
![]() |
![]() |
![]() |
![]() |
Spaces Unclosed
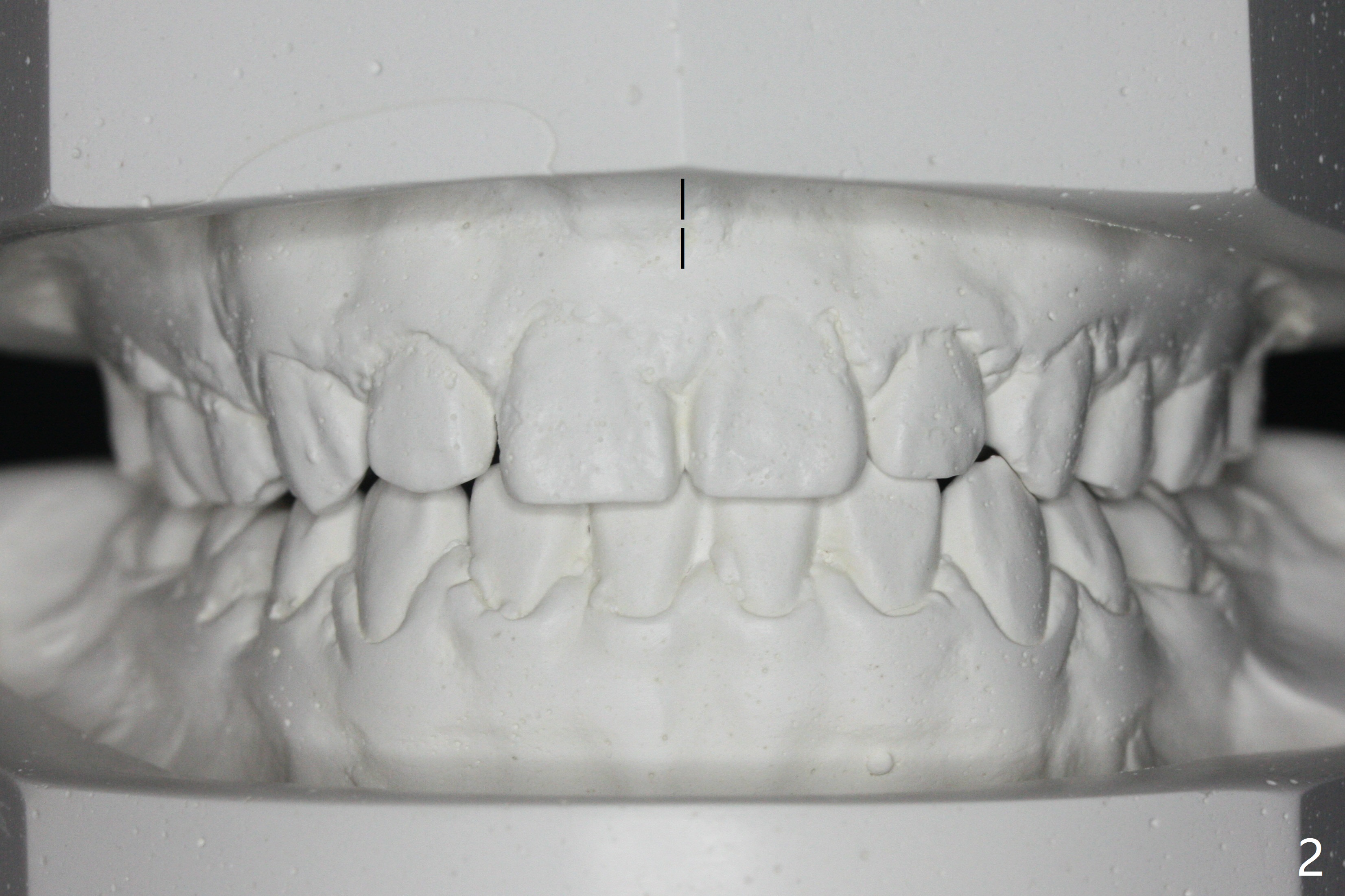
A 11-year-old woman does not have UL3 and LL5 congenitally with retention of their precedent teeth (Fig.1,3,5,7,9 C, E). Her mother rejects implant option and insists on non-extraction orthodontics. When alignment is achieved, she notes the midline issue (dashed line in Fig.1) and agrees upon extraction (UR4 and LR5). The total treatment is 2 years 7 months. A major drawback is unclosed spaces. Power chains should be used as early as possible for extraction cases.
Return to
Ortho Cases
Xin Wei, DDS, PhD, MS 1st edition 10/21/2018, last revision 10/21/2018